概述
托槽分方丝弓托槽、直丝弓两种,安装定位需考虑龈颌向、近远中向、轴倾度等因素,具体位置存在个体差异,需由医生进行判断。
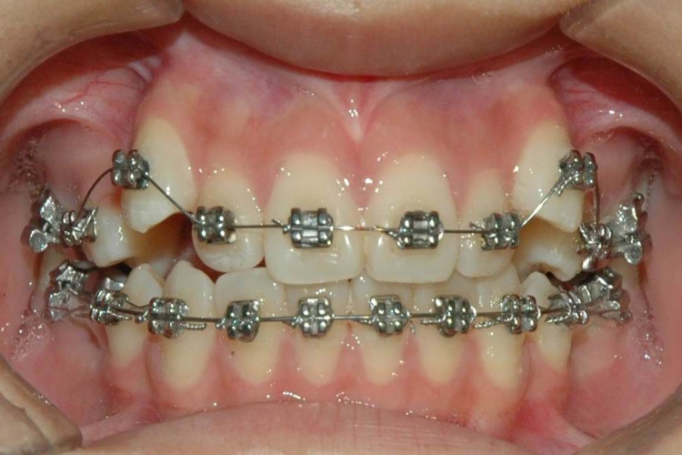
正确位置
托槽分方丝弓托槽、直丝弓两种,托槽种类不同,对位置的要求不尽相同。
方丝弓托槽:可依据托槽高度确定托槽位置,此处托槽高度是指牙尖或切缘至托槽槽沟颌向底面的高度,如上中切牙高度为4.5mm、尖牙高度为5mm、下中切牙高度为4mm等。在近远中方向托槽位于牙齿唇面的中心。由于牙列中各牙齿的轴倾度不尽相同,因为方丝弓矫治器托槽没有预成任何数据,因此黏结托槽时要考虑各牙齿的轴倾度并做相应调整。

直丝弓托槽:直丝弓矫治器用临床冠中心确定托槽的位置,临床冠中心即临床冠长轴与牙冠水平线的交点。磨牙的临床冠长轴为颊面的主垂直沟,其余牙齿的临床冠长轴位于中发育嵴上,上牙冠唇面最突出部。临床确定直丝弓托槽正确位置时,需将托槽中心对准牙齿临床冠中心,防止牙托槽位置稍偏颌向。托槽纵轴与牙齿临床冠长轴一致。

错误位置
托槽错误位置包括龈颌向、近远中向、轴倾度错误,需及时到医院就诊并进行调整。
龈颌向错误:托槽过于颌向或龈向,常常是因为牙齿萌出不足或是在确定临床冠中心切时视觉不当所致。龈颌向错误会使牙齿升高或压低,同时受到不正确的转矩力的影响。
近远中向错误:托槽过于近中或远中,常常因前牙视角不当或牙视野受限所致。切牙与磨牙唇颊侧面相对平坦,少量的近远中向错误影响不大。尖牙和双尖牙颊面为弧形,近远中向错误会造成牙齿扭转。
轴倾度错误:托槽纵轴与临床冠长轴成角,主要是因为没有精确确定牙齿的临床冠长轴或以颌平面为参考,使托槽与颌平面平行,轴倾度错误会改变牙齿的轴倾度。
参考文献
[1]孔春燕等主编.口腔常见病临床防治 下[M].长春:吉林科学技术出版社,2016.450-453.
[2]左艳萍等主编.实用口腔正畸矫治方法与技巧[M].北京:科学技术文献出版社,2017.132.
