概述
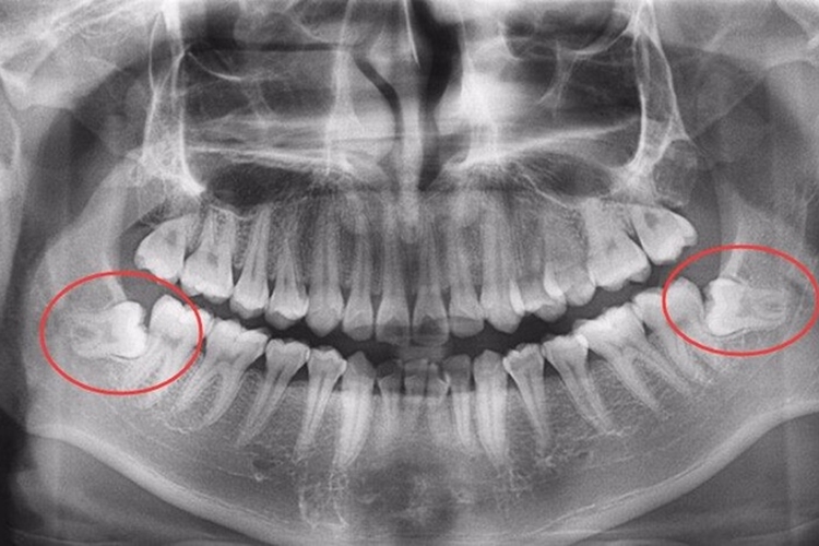
拔智齿过程包括拔牙前准备、分离牙龈、挺松患牙、安放牙钳、拨出患牙和拔牙创处理。
智齿拔除后需避免漱口、刷牙、进食较硬食物,防止伤口出血,避免用手触摸引发感染。
过程
拔智齿的基本过程包括拔牙前准备、分离牙龈、挺松患牙、安放牙钳、拨出患牙、拔牙创处理步骤。具体如下:
拔牙前准备:拔牙前往往需要拍片。拔牙时患者通常采用坐位或半坐位。医生会对患者口腔内手术区进行消毒、局部麻醉。
分离牙龈:切开并掀起软组织瓣显露手术野,将牙龈分离器插入龈沟内,紧贴牙面伸入到沟底,沿牙颈部推动,分离牙龈。此步骤可避免安放牙钳或拔牙时出现牙龈撕裂。
挺松患牙:对于阻生牙、坚固不易拔除的智齿,因不能用牙钳夹住,需应先用牙挺将牙挺松或用涡轮钻去骨、离断阻生齿后再拔除。
安放牙钳:将钳喙分别安放于患牙的唇颊、舌腭,钳喙的纵轴与牙长轴平行。到龈下部位,达牙根部的牙骨质面与牙槽嵴之间。手握钳柄近末端处将患牙夹牢。
拔除患牙:用牙钳夹紧患牙后,运用摇动、扭转和牵引力拔除患牙。应向阻力较小的方向多用力,防止发生断根或牙槽骨折裂。
拔牙创处理:检查拔除的患牙是否完整,如发现有断根应予拔除。用刮匙清理拔牙创,对过高或过尖的骨峭、牙槽中隔或牙槽骨板用骨凿、咬骨钳、骨锉等进行修整。若术中进行切开﹑翻瓣拔牙或牙龈撕裂者,还需对位缝合,但一般拔智齿患者不需进行缝合。






注意事项
在拔智齿后,需注意拔牙后当天不能漱口刷牙,次日可刷牙,不要用舌尖舔或吸吮伤口,以免血凝块脱落。拔牙当天进半流质或软食,食物不宜过热,避免用拔牙侧咀嚼。拔牙当天口内有少量血液渗出,唾液内带有血丝,属正常现象,不要惊慌,不能用手触摸伤口。如拔牙后有大量鲜血流出,应及时就诊。如果是急性炎症期拔牙或复杂牙及阻生牙拔除,术后需按医嘱服用抗生素。
参考文献
[1]张志愿.口腔科学(第9版)[M].北京:人民卫生出版社,2018:120-125.
[2]刘礼杰,陈延武,陈雪芬.下颌阻生智齿应用传统拔牙与微创拔牙方案对患者的心理影响和价值探究[J].当代临床医刊,2022,35(02):33-34.
