概述
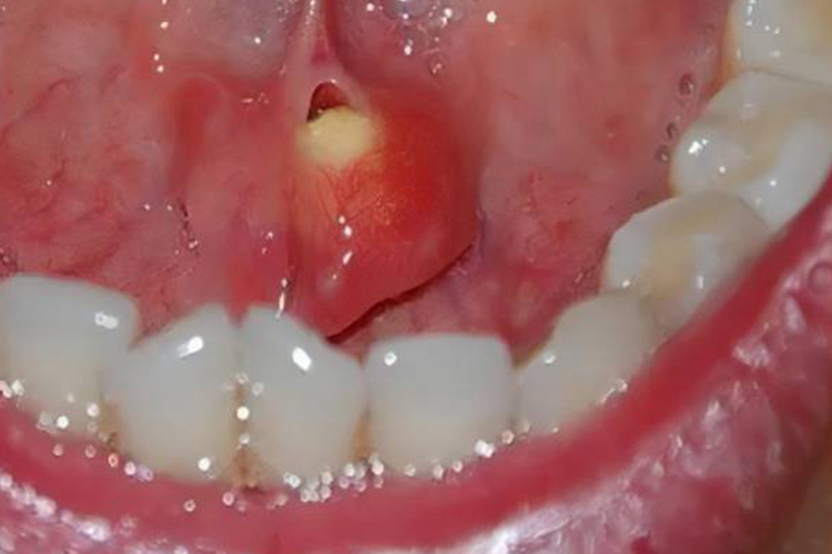
舌下肉阜是舌系带两旁乳头状凸起的组织,当舌下肉阜肿大可出现不同程度的异常增生。
舌下肉阜肿大可能是舌下间隙感染、涎石病、下颌下间隙感染导致,治疗方式存在差异。
症状
舌下间隙感染、涎石病、下颌下间隙感染都会导致舌下肉阜肿大,但症状有一定区别,具体如下。
舌下间隙感染
患者表现为一侧舌下肉阜区及口底颌舌沟黏膜水肿,舌下皱襞肿胀,口底抬高,舌体移向健侧;患者进食、吞咽、讲话困难,严重时有张口障碍和呼吸不畅;脓肿形成,可由口底扪得波动及穿刺出脓液,有时脓肿可由口底自行溃破溢脓,可伴发热等全身症状。

涎石病
小的涎石一般不造成唾液腺导管阻塞,无症状。典型的下颌下腺导管结石为长圆形,呈枣核状。小者如小米粒大小,可被排送到舌下肉阜的导管口,大者可使导管增粗,出现舌下肉阜肿大的现象。

下颌下间隙感染
下颌下间隙感染可导致下颌下三角区肿胀、压痛,如波及舌下间隙则出现同侧口底肿痛体征,引起舌下肉阜肿大。脓肿形成,皮肤潮红,区域性凹陷性水肿,可触及波动感。

病因
舌下间隙感染及下颌下间隙感染、涎石病是不同的疾病,因此病因不同,具体如下。
舌下间隙感染:多由于下颌牙源性感染所致,以及口底黏膜的外伤、溃疡、舌下腺及下颌下腺的腺管炎症等引起。
涎石病:是由腺体或导管内发生钙化性团块而引起的一系列病变。下颌下腺最为多发,其次是腮腺。
下颌下间隙感染:感染可来自下颌智牙冠周炎、下后磨牙的感染、急性淋巴结炎、急性下颌下腺炎、下颌骨骨髓炎、颌骨囊肿感染以及邻近间隙感染的扩散。
治疗
不同的疾病有不同的治疗方式,但均需在医生指导下进行治疗,具体如下。
舌下间隙感染:在医生指导下,遵医嘱全身给予大剂量抗生素。脓肿形成时,及时由口底丰满波动区进行切开引流。
涎石病:腺体发生急性感染时,首先进行抗感染治疗,根据病情采取内服抗菌药、止痛药、输液理疗等措施。下颌下腺导管结石可在口内切开取石,若下颌下腺内及导管后段结石继发慢性下颌下腺炎,腺体已丧失功能可施行下颌下腺切除术。
下颌下间隙感染:脓肿形成时需切开脓肿进行引流,并遵医嘱使用抗感染类药物治疗,当急性炎症控制后,积极治疗病灶牙。
参考文献
[1] 张志愿.口腔科学.第9版[M].北京.人民卫生出版社.2018.8.
[2]米方林.口腔医学.第2版[M].江苏科学技术出版社.2018.23.
[3]王玮主编.现代实用口腔医学[M].云南科学技术出版社.2020.223.
[4]张震康,俞光岩,徐韬.实用口腔科学.第4版[M].北京.人民卫生出版社.2016.229.
