概述
舌下静脉在中医上称舌下络脉,为正常人舌下位于舌系带左右两侧纵行的大络脉。
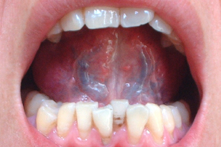
舌下静脉瘀堵四级表现为舌下络脉主干饱满,曲张明显,直径>2.7mm,颜色紫黑。
症状
舌下络脉可分为正常、异常Ⅰ度、异常Ⅱ度、异常Ⅲ度。舌下静脉瘀堵四级即异常Ⅲ度,表现为舌下络脉主干饱满,曲张明显,直径>2.7mm,长度超过舌系带止点与舌尖的3/5或将及尖,颜色紫黑,外带有粗枝状分支或鱼子酱剌。

病因
舌下络脉异常的原因在于舌静脉丰富的静脉瓣。具体表现为舌动脉血流量减少时,舌内毛细血管动脉端压力降低,颈内静脉血欲逆流入舌静脉,而静脉瓣的存在使血液瘀积于各瓣膜远侧,严重时引起静脉壁扩张、膨大成静脉球,加之静脉血氧含量少,就会出现舌下络脉异常囊泡样改变。而当红细胞比容和血浆黏度增加,红细胞变形性减低,与血小板聚集性增强、血液高凝、流速缓慢,则产生末梢血管瘀血;如有血管壁损害则导致血管通透性增加,因此易观察到舌下瘀点、瘀斑等。
治疗
舌下络脉淤堵可选用活血化瘀的药物进行治疗,如川芎、丹参等,活血药以通畅血行、消除瘀血为主要作用,用于一切瘀血阻滞之病证。出血证月经过多或孕妇忌用。
参考文献
[1]王瑜,屠立平,许家佗.舌下络脉诊法研究[J].中国中医基础医学杂志,2022,28(02):305-309.
[2]刘蕾,姜涛,李德俊.舌下络脉的临床研究方法[J].河南中医,2016,36(03):411-414.
[3]陈金水.中医学.第9版[M].北京.人民卫生出版社.2018.167-168.
展开
