概述
寻常型天疱疮可出现水疱,易破溃,基底部有红斑出现。该病病因不明,可能和遗传因素、环境因素有关,常通过药物治疗。
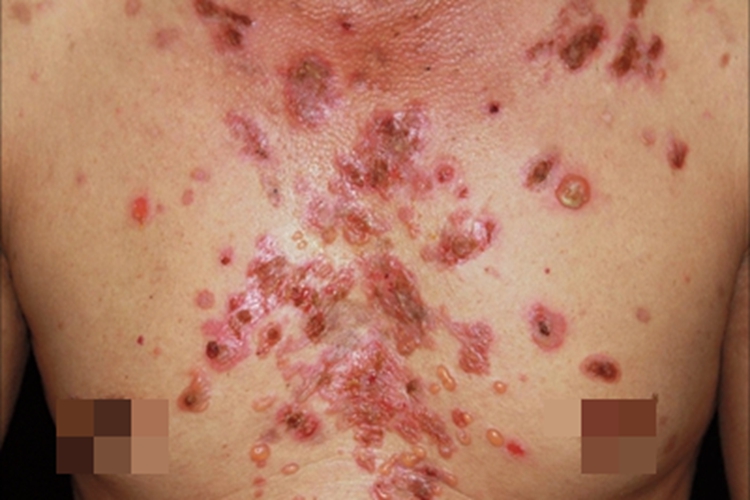
症状
寻常型天疱疮的典型皮损为外观正常的皮肤上出现水疱或大疱,或在红斑基础上出现大疱,疱壁薄,易破溃形成糜烂面,渗液较多,可结痂。

病因
寻常型天疱疮好发于成年人,男女比例接近相等,是一种自身免疫性皮肤病,病因不明,可能和遗传因素、环境因素有关。组织病理为表皮内水疱,血清中和表皮细胞间存在天疱疮抗体,抗原抗体反应导致棘层松解和水疱形成。
治疗
寻常型天疱疮患者用糖皮质激素进行系统治疗,可同时联合使用免疫抑制剂如环磷酰胺、氨甲蝶呤等药物。对于应用大剂量糖皮质激素及与免疫抑制剂联合治疗效果不佳者,又合并严重的感染症状时,可静脉给予大剂量丙种球蛋白。必要时可试用免疫吸附、血浆置换等。但是需注意,药物应遵医嘱使用。
参考文献
[1]张学军,郑捷.皮肤性病学.第9版[M].北京.人民卫生出版社.2018.152-155.
[2]张建中,高兴华.皮肤性病学.第1版[M].北京.人民卫生出版社.2015.261-262.
展开
