概述
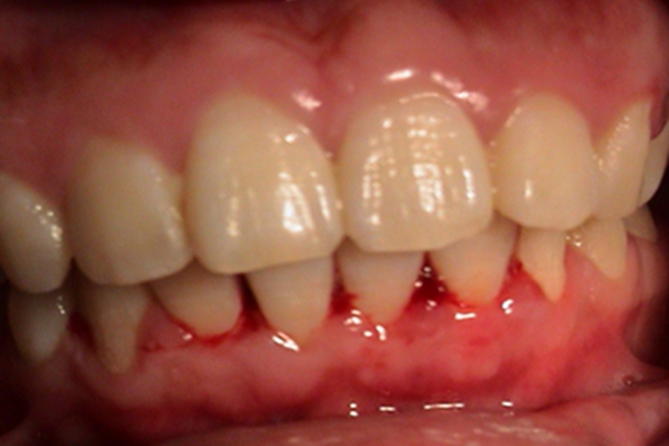
苯中毒可累及牙龈,表现为局部肿胀、发红,可高于周围正常牙龈,可伴有出血等症状。
该病的发生与苯中毒引起的血小板减少有关,应迅速脱离有毒环境,并遵医嘱用药治疗。
症状
苯中毒可发生在牙龈,表现为不同程度的肿胀、发红,呈隆起状,高于周围正常黏膜,同时伴有牙龈出血,触摸质地坚硬,自觉有疼痛。

病因
苯主要以蒸气形态经呼吸道吸入,皮肤仅少量吸收,消化道吸收完全。在与苯相关的生产与应用中,长期接触低浓度苯蒸气,或是短时间内吸入大量高浓度苯蒸气,均可能会引起苯中毒,导致机体内血小板减少,进而出现一系列的皮肤表现。
治疗
苯中毒患者应迅速脱离有毒环境,换去被污染的衣物,用肥皂水(忌用热水)清洗皮肤。患者可遵医嘱使用葡萄糖醛酸、维生素C、维生素B等等药物,起到解毒的作用。有血压下降或休克者,补充血容量和用血管活性药物抗休克治疗,但忌用肾上腺素。
参考文献
[1]张文斌.急诊内科学.第4版[M].北京.人民卫生出版社.2017.401-402.
[2]朱启星.卫生学.第9版[M].北京.人民卫生出版社.2018.173-174.
[3]亓高超.新编临床精神病学.第1版[M].西安.西安交通大学出版社.2015.209-210.
展开
