概述
玻璃离子多指玻璃离子水门汀,可作为牙齿充填、粘结和衬层使用。基本步骤主要包括准备窝洞、调制玻璃离子水门汀、充填抛光。
操作及效果
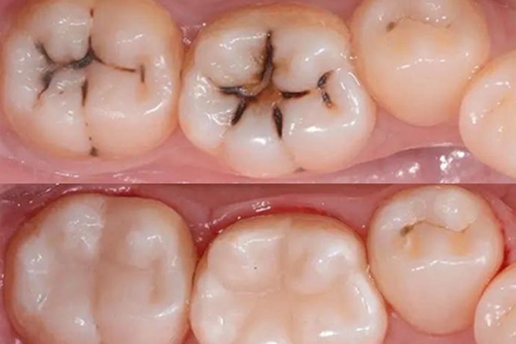
玻璃离子水门汀进行补牙修复时,需首先清洁牙面和备洞,保持窝洞干燥整洁,随后准备玻璃离子水门汀充填窝洞,应避免填压过多,边缘多余的材料可用潮湿的雕刻刀修整成形,并调整咬合。由于玻璃离子水门呈半透明状,能保持稳定,且具有较好的耐磨性,所以用于补牙操作后,其色泽与天然牙色接近,同时可以纠正牙齿缺损现象,提高个人生活质量。

注意事项
使用玻璃离子水门汀进行补牙修复后,不伤害牙髓,可以持续释放氟离子,减少术后敏感的发生。修复体边缘着色时,可能与边缘修整不足有关,适当地打磨抛光即可。如果是继发龋,则需重新修复。另外,充填体过度的磨耗时,可在承担功能尖和窝的位置充填含较多填料的玻璃离子。
参考文献
[1]杨华伟.口腔临床修复材料学[M].上海.同济大学出版社.2016.08.155-157.
[2]张震康,俞光岩,徐韬.实用口腔科学.第4版[M].北京.人民卫生出版社.2016.700.
展开
