概述
舌头靠近喉咙的位置长了好多疙瘩主要表现为滤泡或疱疹样改变,伴有疼痛症状。
舌头靠近喉咙的位置长了好多疙瘩,可能是咽后壁淋巴滤泡增生、疱疹性咽炎等因素引起。
症状
不同原因导致的舌头靠近喉咙的位置长了好多疙瘩,其具体症状存在一定差异:
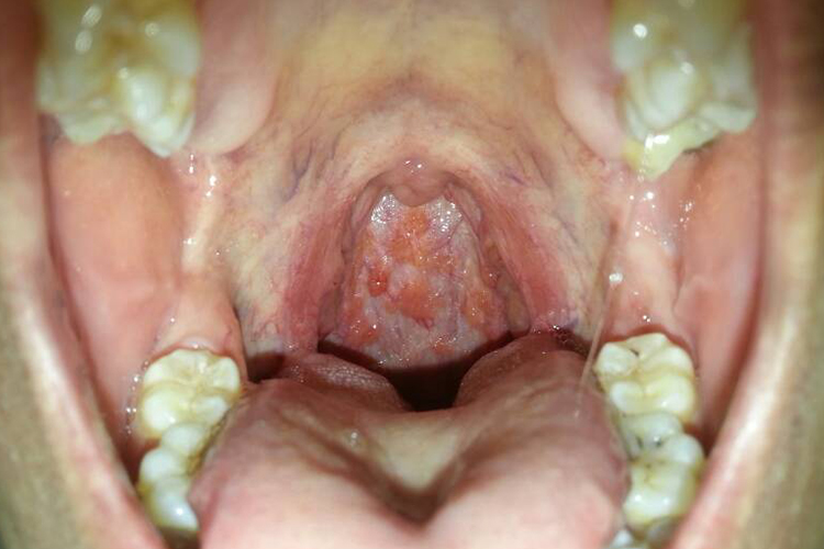
咽后壁淋巴滤泡增生
表现为舌头靠近喉咙处的黏膜存在散在的、突出于黏膜表面、大小不等的圆形或椭圆形红色隆起,可融合成大片状,也可分散呈颗粒状突起,表现为舌头靠近喉咙的位置长了好多疙瘩,可能有小黄点或渗出物;

疱疹性咽炎
主要见于婴儿及儿童,典型表现为骤起的发热伴咽痛、头痛、厌食,婴儿可见呕吐。
在急性起病后2天以内,患者咽部可出现灰色丘疹,表现为舌头靠近喉咙的位置长了好多疙瘩,并可转变为水疱并伴有红斑。
24小时后,可形成表浅溃疡,直径通常不超过5mm,1-7天后可愈合。

病因
舌头靠近喉咙的位置长了好多疙瘩,与炎症、病毒感染等因素导致的咽后壁淋巴滤泡增生、疱疹性咽炎有关:
咽后壁淋巴滤泡增生
见于急慢性咽炎、急慢性扁桃体炎、扁桃体周围脓肿、咽后脓肿等疾病,吸烟、饮酒等不良生活方式也可刺激咽后壁黏膜,导致淋巴滤泡增生,可表现为舌头靠近喉咙的位置长了好多疙瘩;
疱疹性咽炎
是由柯萨奇病毒A组多个型的病毒感染所致的发热性疾病,也可由其他肠道病毒感染引起。
治疗
不同原因引起的舌头靠近喉咙的位置长了好多疙瘩,其治疗方法也不同,具体如下:
咽后壁淋巴滤泡增生
针对淋巴滤泡增生引起的舌头靠近喉咙位置长疙瘩,需要针对原发病治疗,戒烟酒,避免进食刺激性食物,同时可使用消炎药物治疗,如蒲地蓝消炎片等,待咽喉部炎症消失后症状可逐渐消退;
疱疹性咽炎
以抗病毒治疗为主,若病情较重且不能进食,可静脉滴注,轻症者可口服抗病毒药物,如板蓝根颗粒,或应用利巴韦林、阿昔洛韦等。
如果高热不退,则要注意降温,可根据病情适当使用解热镇痛药,如布洛芬缓释胶囊等。
另外,由于疱疹性咽炎具有传染性,故一旦怀疑患有此病,应进行隔离,以免造成流行。
患儿应尽量避免到人多的地方,多饮水,进食富含营养而容易消化的流质或半流质食物,忌辛辣及油腻食物,饮食应少食多餐。
参考文献
[1]席淑新.眼耳鼻咽喉口腔科护理学.第3版[M].北京.人民卫生出版社.2014.205.
[2]RobertS.Porter,MD.默克诊疗手册上.第19版[M].北京:人民卫生出版社.2014.1941.
[3]迟放鲁主编,上海市医师协会组编.医师考核培训规范教程耳鼻咽喉科分册[M].上海:上海科学技术出版社.2016.180.
