概述
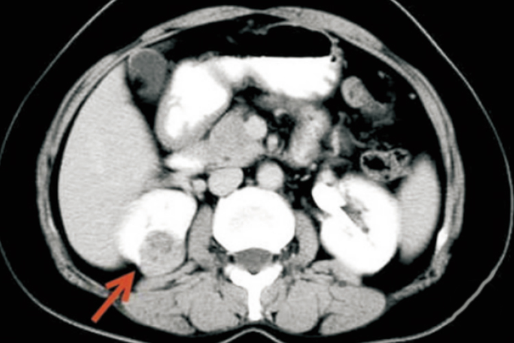
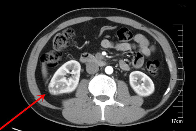
肾肿瘤是指肾脏实质的肿瘤性疾病,包括良性肿瘤和恶性肿瘤,其中恶性肿瘤占绝大多数,通常CT检查对肾肿瘤具有一定的诊断意义。
症状
肾肿瘤可分为良性肿瘤和恶性肿瘤,不同疾病的症状表现存在差异,具体如下。
良性肾肿瘤
良性肾肿瘤常见于肾血管平滑肌脂肪瘤,症状多不明显,常见的症状体征包括腰痛、血尿、腹部肿块及大的错构瘤突然破裂所致低血容量性休克等。CT是最有效和可靠的诊断手段,肾错构瘤内含大量脂肪组织及血管、平滑肌。其CT表现为低密度,CT值为负。

恶性肾肿瘤
恶性肾肿瘤常见于肾癌,患者可出现发热、贫血、红细胞增多症、高血压、肝功能异常、高血钙、血沉增快、精索静脉曲张等。晚期可出现消瘦、贫血、虚弱等恶病质改变。CT检查表现为肾实质内圆形,类圆形或分叶状肿块,平扫时密度不均匀。CT值为低于正常肾组织的正值。

病因
良性肾肿瘤和恶性肾肿瘤虽然都属于肾肿瘤,但是两者的病因存在差异,具体如下。
良性肾肿瘤
常见的肾血管平滑肌脂肪瘤发病原因尚不明确,瘤体系由血管、平滑肌和脂肪组织错误组合构成。肿瘤可大可小,可以单个、多个或双侧发病。
恶性肾肿瘤
常见的肾恶性肿瘤确切病因尚不清楚,吸烟可能是肾恶性肿瘤发生的危险因素。肾恶性肿瘤亦有家族发病倾向,已发现有视网膜血管瘤家族性肾恶性肿瘤染色体异常,尤其是第3、11号染色体异常的家族性肾恶性肿瘤。
治疗
针对良性肾肿瘤和恶性肾肿瘤,需要采取不同的治疗方式,具体治疗措施如下。
良性肾肿瘤
针对良性肾肿瘤,无论采取何种治疗方式,均须将保留肾功能放在首位考虑。对无症状的直径小于4cm的肿瘤,建议每半年复查影像检查,动态观察瘤体大小及临床症状变化。对症状持续存在的直径小于4cm的肿瘤,可行选择性肾动脉栓塞治疗。对直径大于4cm的症状性肿瘤,应尽可能采用保留肾单位手术或选择性肾动脉栓塞。
恶性肾肿瘤
局限性肾恶性肿瘤主要以手术切除为主,可采取开放性手术或腹腔镜手术行根治性切除术,射频消融,冷冻消融或高强度聚焦超声可用于无法切除的小肾恶性肿瘤病人治疗。由于肾恶性肿瘤细胞对放疗及化疗均不敏感,对局限性肾恶性肿瘤术后尚无标准辅助治疗方案。
参考文献
[1]赵玉沛,陈孝平.外科学(上册).第3版[M].北京.人民卫生出版社.2015.766-768.
[2]杨全山主编.肿瘤诊断影像指南[M].长春.吉林科学技术出版社.2019.221.
