概述
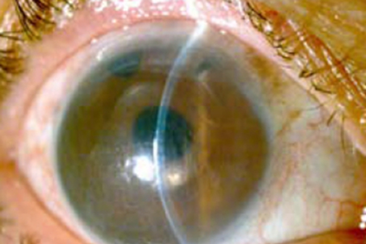
大泡性角膜病变检查可见眼球发白,角膜基质水肿、增厚,可出现雾视。本病是因各种原因严重损毁角膜内皮细胞所致,需遵医嘱治疗。
症状
大泡性角膜病变检查可见眼球发白,角膜基质水肿、增厚,上皮呈气雾状,角膜后切面不清或皱褶混浊,患眼可出现雾视,轻症者晨起最重,午后可有改善。重者刺激症状明显,疼痛、流泪、难以睁眼。


病因
大泡性角膜病变是由于各种原因严重损毁角膜内皮细胞,使角膜内皮细胞失代偿,使其失去液体屏障和主动液泵功能导致,常见原因为白内障摘除术、人工晶状体植入术、绝对期青光眼、单纯疱疹病毒感染等。
治疗
对于大泡性角膜病变,轻者可遵医嘱局部应用高渗剂和保护、湿润角膜的药物,上皮有缺损时用抗生素滴眼剂预防感染。症状顽固或明显影响视力者,应考虑角膜内皮移植术或穿透角膜移植术。其他方法如角膜层间烧灼术,可用于缓解症状。
参考文献
[1]葛坚,王宁利.眼科学.第3版[M].北京.人民卫生出版社.2015.203-204.
[2]杨培增,范先群.眼科学.第9版[M].北京.人民卫生出版社.2018.121-122.
展开
