概述
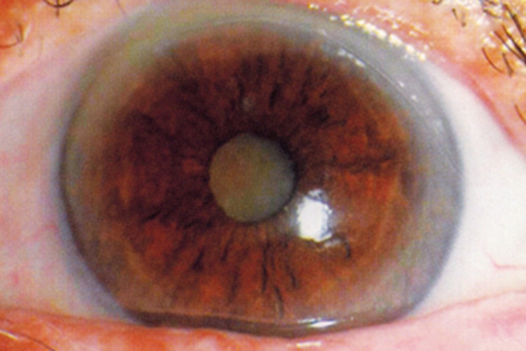
老年性白内障患者的眼球颜色可发黄,晶状体混浊,伴随局部颜色变化,可呈淡黄色,一般不会对视力造成影响,可遵医嘱手术治疗。
症状
老年性白内障患者的眼球颜色可发黄,晶状体混浊,初期混浊出现在胚胎核,逐渐向外扩展,伴随局部颜色变化,可呈淡黄色,一般不会对视力造成影响。


病因
老年性白内障是晶状体老化后的退行性改变,是多种因素综合作用的结果,如遗传因素、年龄增长、营养不良、紫外线照射、氨基酸含量变化等因素导致。此外,晶状体蛋白流失、眼部损伤、糖尿病、高血压等均是老年性白内障的发病因素。
治疗
老年性白内障主要为遵医嘱手术治疗。通常采用在手术显微镜下施行白内障超声乳化术,或白内障囊外摘除术联合人工晶状体植入术。
参考文献
[1]杨培增,范先群.眼科学.第9版[M].北京.人民卫生出版社.2018.137.
[2]秦莹等主编.实用眼科疾病理论与实践[M].北京.科学技术文献出版社.2018.280.
展开
