概述
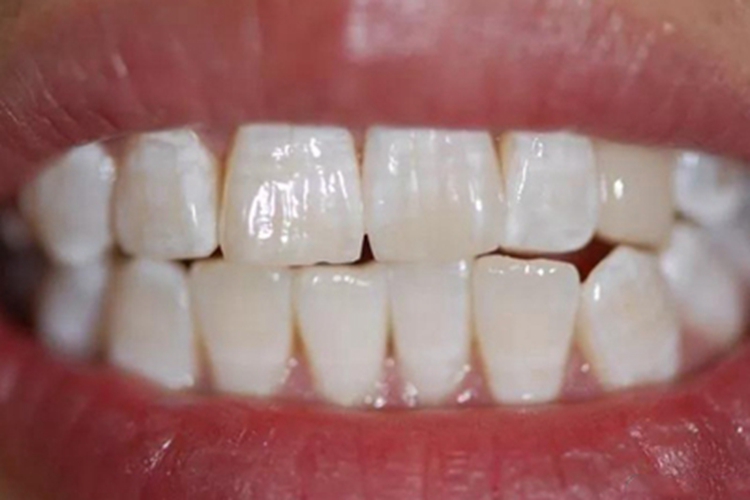
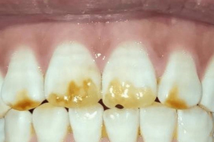
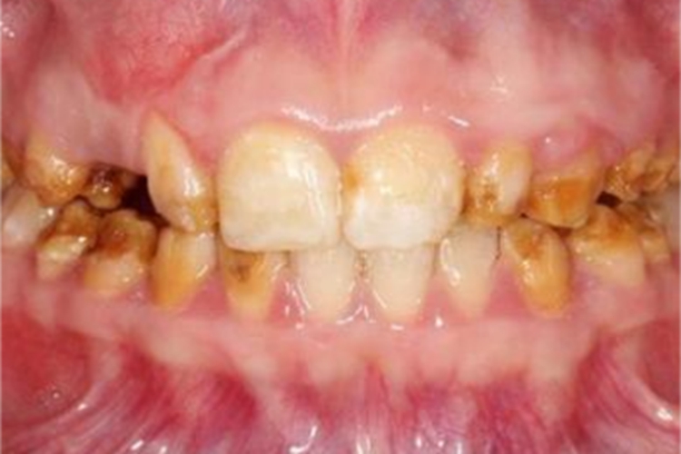
牙釉质发育不全轻度时,仅有色泽和透明度改变,重度时可出现棕色凹陷。与全身疾病等有关,应预防龋病的发生。
症状
牙釉质发育不全轻度时,牙冠形态完整,仅有色泽和透明度改变,可形成白垩色釉质,一般无自觉症状;重度时,牙面可出现带状或蜂窝状棕色凹陷,受累牙齿往往呈对称性。



病因
牙釉质发育不全与全身疾病、严重营养障碍、内分泌失调,以及严重的乳牙根尖周感染等因素有关。
治疗
牙釉质发育不全者应预防龋病的发生。对于牙着色或缺陷,可使用复合树脂、烤瓷冠等方法进行修复治疗。
参考文献
[1]张志愿.口腔科学.第9版[M].北京.人民卫生出版社.2018.49-50.
[2]周学东.牙体牙髓病学.第5版[M].北京.人民卫生出版社.2020.46-47.
展开
