概述
干酪性肺炎CT影像主要显示为多发小空洞,增强CT显示多发坏死区,多由浸润型肺结核恶化导致,常伴有低热、咳嗽等肺结核症状。
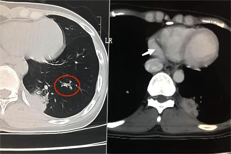
CT表现
干酪性肺炎CT影像,主要显示为多发小空洞,增强CT显示多发坏死区,镜下有大片干酪样坏死灶,肺泡腔内有大量浆液纤维蛋白性渗出物。根据病灶范围的大小,可分为小叶性和大叶性干酪性肺炎,属于病情危重结核病之一,临床上常伴有低热、咳嗽等症状。

病因
干酪性肺炎可能由浸润型肺结核恶化进展而来,也可由急、慢性空洞内的细菌经支气管播散所致。
治疗
干酪性肺炎属于结核病的一种,因此治疗主要是抗结核治疗。可遵医嘱使用异烟肼、利福平、吡嗪酰胺等药物。另外,如果伴有缺氧、室上性心动过速、心房颤动、心力衰竭等症状,可吸氧,并给予强心药治疗,常用的药物有去乙酰毛花苷、呋塞米等对症处理。
参考文献
[1]步宏,李一雷.病理学.第9版[M].北京.人民卫生出版社.2018.343.
[2]赵春华.肺结核的CT诊断与临床[M].北京.科学技术文献出版社.2019.167.
展开
