概述
牙龈癌早期并没有明确的8个征兆,仅以牙龈疼痛、出血、牙齿松动等为首要症状,发生多与口腔卫生不良、不良义齿修复等有关。
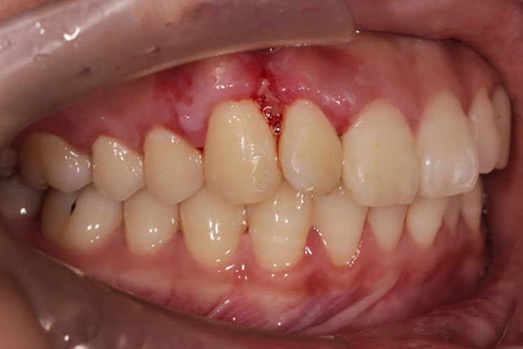
症状
牙龈癌好发于前磨牙区及磨牙区。起初多源于牙间乳头及龈缘区,早期以牙龈疼痛、出血、牙齿松动等为首要症状,同时还会伴随出现浅表的溃疡,可生长为菜花状或大小不等的肉芽粒状,表面糜烂、出血,生长较慢。
由于黏骨膜与牙槽突附着甚紧,早期侵犯牙槽突及颌骨,可使骨质破坏,牙齿松动、脱落。另外,牙龈癌早期可通过牙间隙向对侧蔓延,在外侧向龈颊沟侵犯。下牙龈癌可向内侧侵及口底,向下侵及下颌骨,向后发展到磨牙后区及咽部,引起张口困难。


病因
对于牙龈癌的发病因素,通常考虑可能与口腔卫生不良、不良义齿修复、癌前病变等因素有关。
治疗
牙龈癌早期需遵医嘱进行牙槽突切除手术治疗。若侵犯上颌窦,则需进行全上颌骨切除术;若为早期的上颌牙龈癌淋巴结属N0,则需进行严密观察,一旦发生转移,即应行治疗性颈淋巴清扫术。
参考文献
[1]张志愿.口腔科学.第9版[M].北京.人民卫生出版社.2018.49-50.
[2]王玮主编,现代实用口腔医学[M],昆明.云南科技出版社.2020.285.
展开
