概述
氟斑牙多是由于从环境中摄入过多的氟,引起牙釉质发育不良或矿化不全所致。
氟斑牙可分为正常、可疑、极轻、轻度、中度、重度等程度。
氟斑牙分度
氟斑牙又名氟牙症,根据牙齿损害程度,可分为正常、可疑、极轻、轻度、中度、重度等程度。
正常:牙质呈半透明乳白色,表面光滑,有光泽。

可疑:牙釉质表面有光泽,但有少量的白色斑纹或散在的小白点。

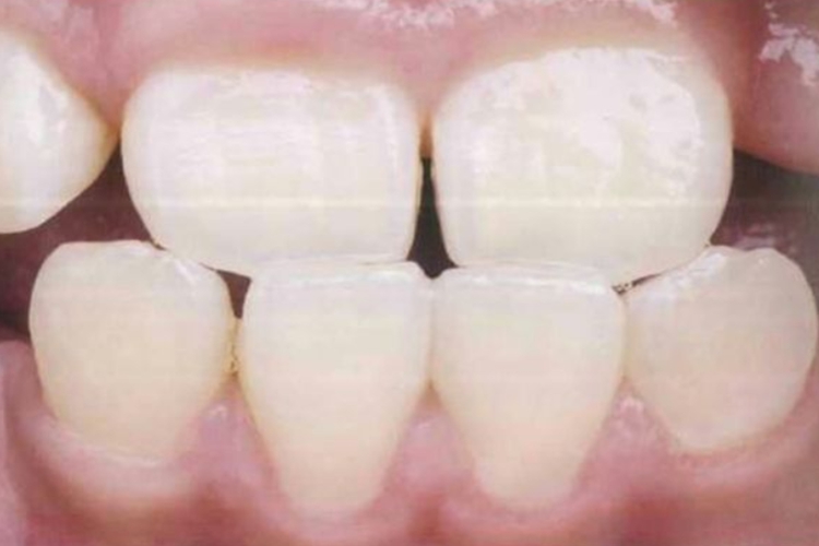
极轻:牙釉质表面尚有一定的光泽,粗糙似粉笔样的改变尚轻,牙体形状基本正常。

轻度:牙釉质表面失去光泽,极明显的似粉笔样的改变,牙体肥厚,有时牙齿边缘可带有少量淡黄色斑块。

中度:此度根据明显的着色判定,在似粉笔样改变的基础上。牙齿(主要是上门齿)有明显黄色斑纹,占牙面1/3以上,有时可见少数细小浅窝状釉质缺损。

重度:牙釉质表面有明显缺损,缺损呈块状,并出现在多个牙齿上,重者全部牙齿都有缺损,牙齿常呈侵蚀样外观。

病因
氟斑牙多是由于生活在高氟环境,经饮水、食物等途径,长期摄入过量的氟,人体内氟过量导致碱性磷酸酶活性受到抑制,造成牙釉质发育不良或者矿化不全,牙釉质多孔性增加,表层牙釉质塌陷,从而出现牙体损害表现。
治疗
氟斑牙轻症患者无需处理,着色较深而无明显缺损的患牙可用漂白脱色法脱色,重度有缺损的患牙可用复合树脂直接贴面、瓷贴面或全瓷冠等修复方法处理。
参考文献
[1]王旭霞,杨征.全国普通高等医学院校五年制临床医学专业“十三五”规划教材 口腔科学[M].北京.中国医药科技出版社.2016.133.
[2]樊明文.中华医学百科全书 2 临床医学 口腔医学[M].北京.中国协和医科大学出版社.2018.14-15.
展开
