概述
尾骨突出可能为骶尾发育异常综合征,也可能为尾骨受到外伤骨折引起。
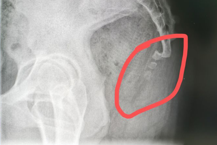
尾骨突出常表现为臀部扁平、出现肛门坠胀感等,通过X片一般可以确诊。
症状
尾骨突出可能为骶尾发育异常综合征、尾骨骨折等疾病所致,具体症状如下:
骶尾发育异常综合征:骶尾发育异常综合征主要表现为椎体不发育,从部分尾骨至腰椎以下全部不发育,且有不同类型、不同程度的短肢畸形、髋关节脱位、臀部扁平等。此外,严重者有髓骨融合,胃肠道功能素乱及神经性膀胱,X光下可以看到尾骨的突出。

尾骨骨折:尾骨骨折后局部疼痛剧烈,尤其坐位时疼痛加重。检查时局部有明显的压痛,但是肿胀不明显,肛诊时可以触及尾骨的前后错动。尾骨骨折脱位后,由于附着于其上的肛提肌、尾骨肌和肛门外括约肌以及韧带的张力发生变化,患者可出现肛门坠胀感。X线片可以确诊,侧位片可以看到尾骨向前移,正位片上可以见到尾骨的远端向侧方移位。

病因
导致尾骨突出的疾病不同,其病因也不相同,具体如下:
骶尾发育异常综合征:本病系因母体在孕期患有控制不好的糖尿病,造成胎儿在宫内发育不良而引起。
尾骨骨折:多由于不慎跌倒时臀部着地,尾骨尖直接撞击于坚硬的物体,致使尾骨骨折或是脱位,并由于肛提肌和尾骨肌的牵拉作用,使骨折端向前方或是侧方移位。
治疗
导致尾骨突出的疾病不同,其治疗方法也不相同,具体如下:
骶尾发育异常综合征:对于轻症患者可采用局部外敷的药物,来缓解不适症状。对于中、重度的患者,可采用手术切除肥大的尾骨,而把直肠尾骨韧带缝合于骶骨下段或使其游离。
尾骨骨折:尾骨骨折患者早期可以使用消肿止痛的药物进行治疗,或配合外敷膏药。对于骨折无移位或是有移位但是没有肛门坠胀感和大便异常者,不作特殊处理,仅需卧床,坐位时可以用气垫保护。对于移位较多而且伴有肛门坠胀和大便次数改变者,要用肛内手法复位胶布固定。对于病情严重者可以采取尾骨切除术。
参考文献
[1]王勇主编.临床骨科疾病诊疗研究[M].长春.吉林科学技术出版社.2020.509-510.
[2]柳越冬主编.实用肛肠病临床手册[M].北京.中国中医药出版社.2017.357.
