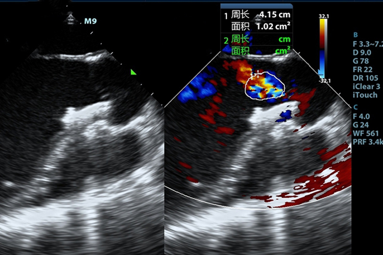
房间隔缺损彩超可见右心房、右心室的增大,还可见血流分流的频谱,可明确心脏并发畸形的位置。
房间隔缺损彩超可显示出房缺、右心房、右心室增大,肺动脉增宽。房间隔连续中断,并可见左向右血流分流频谱。


房间隔缺损是指原始房间隔在发生、吸收和融合过程中出现异常,导致房间隔上出现异常孔状缺损,其位置、形状、大小不定,但都会造成左、右心房腔直接相通。
房间隔缺损多通过手术进行治疗,如经皮心导管介入封堵术,可适应于中央型小直径房间隔缺损;还可进行经胸小切口非体外循环下,心脏超声引导下直接封堵房间隔缺损手术等,具体手术选择需要由医生根据患者具体情况决定。
[1]曾显阁,李钰珑.房间隔缺损封堵术与外科修补术对左室舒张功能远期影响观察研究[J].黔南民族医专学报,2021.199.
[2]王祥,陈智,肖云彬,等.卵圆孔未闭封堵器在儿童多孔型房间隔缺损封堵治疗中的研究[J].心肺血管病杂志,2022.238.