概述
遗传性乳光牙应指遗传性乳光牙本质,表现为儿童牙齿呈半透明的(乳光的)黄褐色,牙本质暴露,为常染色体显性遗传,需修复治疗。
症状
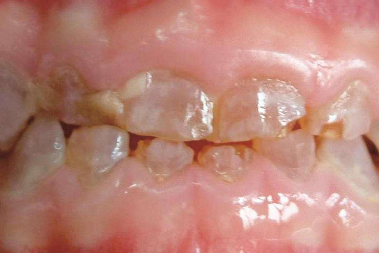
遗传性乳光牙应指遗传性乳光牙本质,也为牙本质发育不全Ⅱ型。乳牙和恒牙皆可发生,常为全口牙齿受侵犯。牙齿呈半透明的(乳光的)黄褐色,釉质早期与牙本质分离而剥落,牙本质暴露,使颜色更深,呈棕紫色,而且易磨损。X线片可见牙根短而细,牙髓腔缩小,甚至完全闭塞。

病因
遗传性乳光牙本质是一种常染色体遗传疾病,多为显性遗传,是牙本质涎磷蛋白的基因突变所致。可在一个家族中连续出现几代,亦可隔代遗传。男女患病率均等,亲代一人患病,子女有半数发病率,符合常染色体显性遗传规律。
治疗
遗传性乳光牙本质一般用修复的方法恢复牙列,由于乳牙列常有严重咀嚼磨损,故需用覆盖(牙合)面和切缘的(牙合)垫预防和处理。在恒牙列,为防止过度的磨损,可用全冠,也可用(牙合)垫进行修复。
参考文献
[1]张震康,俞光岩,徐韬.实用口腔科学.第4版[M].北京.人民卫生出版社.2016.54.
[2]周学东.牙体牙髓病学.第5版[M].北京.人民卫生出版社.2020.48-50.
展开
