概述
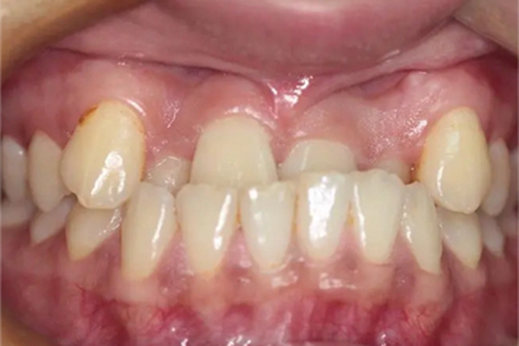
地包天患者可表现为上颌的牙齿向内凹陷,同时伴随上颌牙齿排列异常的症状。
该症状可由多种原因导致,患者应去除诱因,在医生指导下使用矫治器。
症状
地包天患者临床上可表现为上颌的牙齿向内凹陷,同时伴随上颌牙齿排列异常的症状,部分患者还有不正常咬合力,容易对牙周组织造成创伤,发生牙周疾病。

病因
地包天有明显的家族遗传倾向,先天性唇腭裂是重要病因之一,往往表现为上颚的牙齿向内凹陷,前牙反颌。除此之外,患者若有垂体功能亢进、佝偻病、慢性扁桃体炎、乳牙龋病等疾病,以及伸舌、吮指、咬上唇及不正确喂养等不良习惯,都可导致该症状的发生。
治疗
该症状可能有随生长逐渐加重的趋势,因此,矫治原则是尽早去除致病因素,如改正伸舌、吮指等不良习惯,此外,可在医生指导下使用矫治器,包括上颌(牙合)垫矫治器、口外上颌前方牵引器、固定矫治器等,可以有效缓解该症状。
除此之外,若患者出现明显骨骼畸形,单独使用矫治器矫正往往效果不佳,常需配合外科正畸进行联合治疗。
参考文献
[1]张志愿.口腔科学.第9版[M].北京.人民卫生出版社.2018.215-216.
[2]赵志河.口腔正畸学.第7版[M].北京.人民卫生出版社.2020.183-186.
展开
