概述
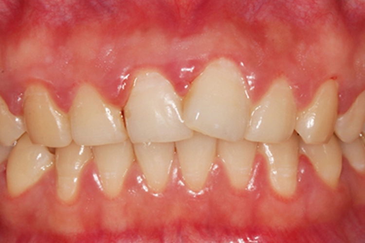
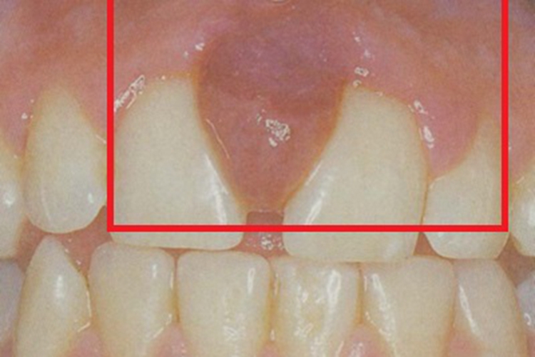
慢性龈炎牙龈肿胀,呈红色改变,表面完整光滑,龈乳头圆钝肥大,可呈肉球状凸起。
疾病症状多由牙菌斑引起,需要通过洁治术彻底清除菌斑和牙石,并使用药物治疗。
症状
慢性龈炎的病损部位一般为牙龈的游离龈和龈乳头,游离龈和龈乳头颜色变为鲜红或暗红色,表面完整、光滑,病变较重时炎性充血、肿胀可波及附着龈。龈缘变厚,龈乳头圆钝肥大,可增生呈肉球状凸起,覆盖牙面。牙龈松软脆弱,缺乏弹性。


病因
龈缘附近牙面上堆积的牙菌斑是引起慢性龈炎的始动因子,其他如牙石、食物嵌塞、不良修复体等均可促使牙菌斑积聚,引发或加重牙龈炎症。
治疗
对于慢性龈炎,需要通过洁治术彻底清除菌斑和牙石,彻底纠正不良修复体等刺激因素。炎症较重者可配合局部药物治疗,包括过氧化氢溶液、氯己定等。牙龈增生明显,炎症消退后牙龈形态仍不能恢复正常者,可行牙龈成形术。注意定期复查和维护,防止复发。
参考文献
[1]张志愿.口腔科学.第9版[M].北京.人民卫生出版社.2018.63-64.
[2]孟焕新.牙周病学.第5版[M].北京.人民卫生出版社.2020.131-134.
展开
