概述
骨软骨瘤X线表现在干骺端可见从皮质突向软组织的骨性凸起,出现炎症或恶变时,需要积极治疗。
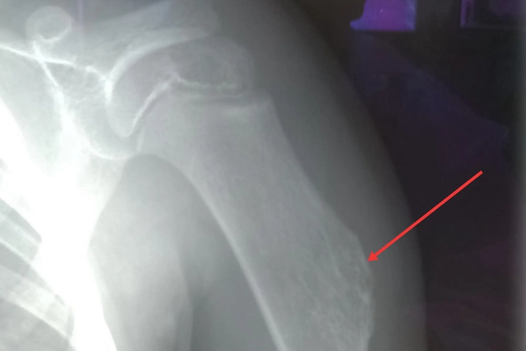
表现
骨软骨瘤可单发或多发,X线可见在干骺端从皮质突向软组织的骨性突起,皮质连续,突起表面为软骨帽,不显影,厚薄不一,有时可呈不规则钙化影。

注意事项
骨软骨瘤可长期无症状,多因无意中发现骨性包块而就诊,但有可能发生恶变,出现病变部位疼痛、肿胀、影响关节活动等症状,需要及时采取治疗,以手术切除病变部位为主。
参考文献
[1]陈孝平,汪建平,赵继宗主编,外科学第九版[M].人民卫生出版社,2018:774-775.
[2]姜虹.骨外科学高级医师进阶.第1版[M].北京.中国协和医科大学出版社.2016:315.
展开
