概述
内源性牙黄为牙齿受到某种元素影响,色素不在牙齿表面而在牙齿组织内,主要见于氟斑牙和四环素牙,程度不同的症状也不同。
症状
内源性牙黄是由于许多内源性着色均发生在牙萌出前牙冠形成时期,因此通常为多颗牙同时受累,且常伴有牙结构的发育缺陷,一般见于氟牙症和四环素牙等,其不同程度的症状分别如下:
氟牙症
临床上按其程度分为白垩型、着色型和缺损型3种类型,分别如下:
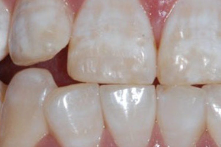
白垩型:表现为双侧牙齿牙面上弥漫的水平向白垩色条纹或斑块,与周围牙体组织无明显界限。

着色型:表现为釉质的变色和凹陷,有时牙齿萌出时氟化的釉质并未出现明显变色,而是随着时间延长逐渐呈现着色。

缺损型:釉质发育不全明显,有时牙形状有改变,可视为一种轻微的病理性的切端、(牙合)面磨损,凹陷更深且融合,染色广泛。

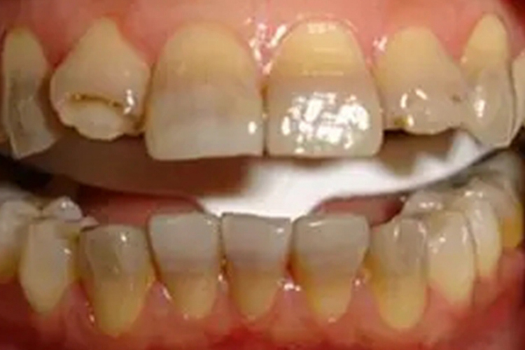
四环素牙
根据四环素牙着色程度和范围,四环素牙可分为以下四种类型,分别如下:
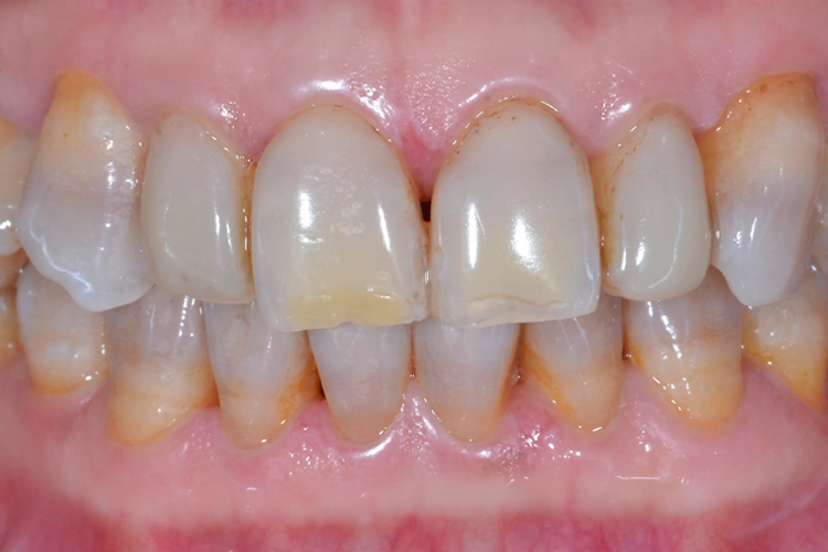
轻度四环素着色:整个牙面呈现黄色或灰色,且分布均匀,没有带状着色。

中度四环素着色:着色牙由棕黄色转变至黑灰色。

重度四环素着色:牙表面可见到明显的带状着色,颜色呈黄-灰色或黑色。

极重度四环素着色:牙表面着色深,严重者可呈灰褐色,任何漂白治疗均无效。

病因
氟牙症
高氟地区的婴幼儿及儿童,因饮水等途径从环境中摄入过量的氟,导致牙釉质发育不良或矿化不全,形成内源性牙黄。
四环素牙
在牙的发育矿化期,服用的四环素族药物,可被结合到牙组织内,形成内源性牙黄。
治疗
氟牙症
预防氟牙症的基本原则是在牙发育矿化期限制摄入过量的氟,最理想的预防方法是选择含氟量适宜的水源;对于无实质性缺损的氟牙症,前牙可采用脱色法,后牙可不予处理;对于有实质性缺损的氟牙症,可采用复合树脂粘结修复,重者也可采用贴面、全冠修复等方法处理。
四环素牙
为防止四环素牙的发生,妊娠和哺乳的妇女以及8岁以下的小儿不宜使用四环素类药物;着色牙可通过光固化复合树脂修复、瓷冠修复、贴面或漂白等方法进行治疗。
参考文献
[1]周学东.牙体牙髓病学.第5版[M].北京.人民卫生出版社.2020.52-57.
[2]张志愿.口腔科学.第9版[M].北京.人民卫生出版社.2018.46.
[3]樊明文主编.中华医学百科全书.2.临床医学.口腔医学[M].北京.中国协和医科大学出版社.2018.15.
