概述
皮下血管瘤主要包括蔓状血管瘤、毛细血管瘤,表现为隆起的棕红或鲜红色丘疹或斑片,超声表现无回声或低回声,其内可见血流信号。
超声表现
皮下血管瘤常见蔓状血管瘤、毛细血管瘤,二者的超声表现如下:
蔓状血管瘤
超声多表现为管状、瘤样或梭形无回声或低回声,相互交通,呈大小不等的网格状或蜂窝样分布。大者形态不规则,边界不清, 部分可见云雾样低回声。较小者多为无回声,边界尚清。彩色多普勒血流图像不需加压即可见管腔内充满红蓝色血流。

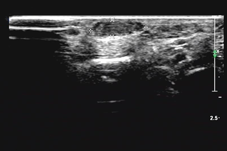
毛细血管瘤
超声检查多见低回声团块,形态欠规则,内部回声分布欠均匀,探头加压可变形。彩色多普勒血流图像示团块内部及周边可见血流信号。

皮肤表现
皮下血管瘤初起皮损是红色血管瘤性小点,部分皮损呈略微隆起的棕红或鲜红色小丘疹,聚集成群并逐渐向四周蔓延,呈草莓样或充血性斑片样。新损害陆续出现,而较早皮损可渐消退。
参考文献
[1]轩维锋编著.浅表组织超声与病理诊断[M].北京.人民军医出版社.2015.22.
[2]方洪元编著.实用皮肤性病手册.第1版[M].北京.人民卫生出版社.2016.874.
展开
