概述
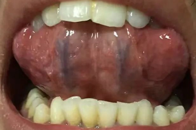
舌底青筋在中医上称舌下络脉,为正常人舌下位于舌系带左右两侧纵行的大络脉。
正常的舌下络脉颜色暗红,无分支和紫点,也无怒张、紧束、弯曲、增生等异常。
正常情况
舌底青筋在中医上称为舌下络脉。正常人舌下位于舌系带左右两侧各有一条纵行的大络脉,称舌下络脉。正常情况下,其管径不超过2.7mm,长度不超过舌尖至舌下肉阜连线的3/5,颜色暗红,无分支和紫点,且无怒张、紧束、弯曲、增生等异常,排列有序,绝大多数为单支,极少有双支出现。

临床意义
舌下络脉异常可反映人体某些疾病。舌下络脉短而细,周围小络脉不明显,舌色偏淡者,多属气血不足;舌下络脉粗胀分叉,或呈青紫、绛、绛紫、紫黑色,或舌下细小络脉呈暗红色或紫色网络,或舌下络脉曲张如紫色珠子状大小不等的瘀血结节等改变,皆为血瘀的征象。其形成原因可有气滞、寒凝、热郁痰湿、气虚阳虚等,需结合其他症状综合分析。舌下络脉的变化,有时会早于舌色变化。因此,舌下络脉是分析气血运行情况的重要依据。
参考文献
[1]李灿东.中医诊断学.第4版[M].北京.中国中医药出版社.2016.112-113.
[2]陈金水.中医学.第9版[M].北京.人民卫生出版社.2018.94-97.
展开
