概述
口腔两侧有两条白线,可伴有局部疼痛,也可无明显自觉症状。
口腔两侧有两条白线可能和局部刺激有关,也可能由内分泌因素、精神因素等导致。
症状
口腔两侧有两条白线可能是颊白线,也可能是口腔扁平苔藓、口腔白色角化病等引起,不同疾病症状存在差异。
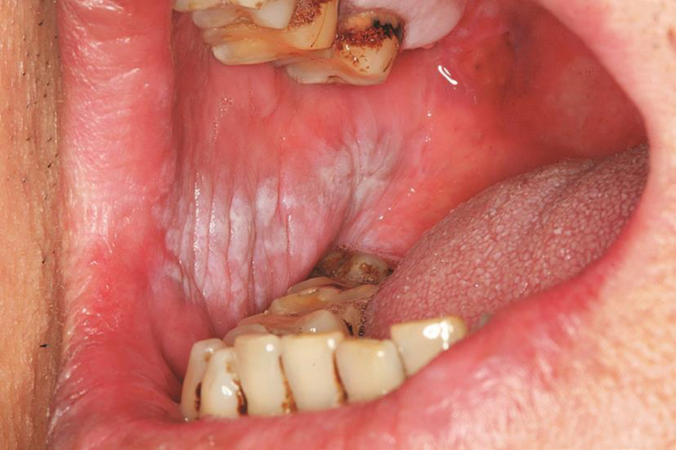
颊白线:位于双颊部与双侧后牙咬合线相对应的黏膜上,表现为连续的白色或灰白色线条,与牙列外形相吻合,呈水平状纵向延伸,明显高出黏膜面,光滑;在成年人中常见,一般无自觉症状。
口腔扁平苔藓:表现为小丘疹连成的线状白色或灰白色条纹(或花纹),类似皮肤损害的威肯姆线。白色花纹呈网状、树枝状、环状或半环状,黏膜可发生红斑、充血、糜烂、溃疡、萎缩和水疱等。患者自觉黏膜粗糙、木涩感、烧灼感、口干、偶有虫爬痒感。黏膜充血糜烂时,遇辛辣、热、酸、咸味刺激时,局部敏感灼痛。
口腔白色角化病:位于颊部损害,以颊线区域为中心前后分布的白色斑片,表现为灰白色浅白或乳白色的边界不清的斑块或斑片,可连接成线状。皮损一般不高出于或微高于黏膜表面,平滑、柔软而无自觉症状,表面光滑无结节,基底柔软。



病因
口腔两侧有两条白线根据疾病的不同,原因也存在一定的差异。
颊白线:主要由于咀嚼时牙齿持续不断的刺激所引起的组织角化。
口腔扁平苔藓:病因和发病机制目前尚不明确,可能和免疫因素、精神因素、内分泌因素、遗传因素、感染等有关,会导致颊粘膜出现上皮过度不全角化、极低层液化变形等,进而表现为局部线状白色条纹。
口腔白色角化症:主要由于口腔内残根、残冠、不良修复体或吸烟等常见的局部刺激因素导致口腔颊粘膜出现上皮过度角化或部分不全角化,出现口腔两侧黏膜变白,呈现条状斑片。
治疗
颊白线一般无需治疗。口腔扁平苔藓目前尚无特效疗法,需根据具体情况进行治疗,如精神心理因素的调治,可口服泼尼松等肾上腺皮质激素或雷公藤、昆明山海棠等药物进行免疫调理治疗,应根据自身情况补充维生素及微量元素。另外需去除各种局部刺激,保持口腔卫生清洁,也可局部应用维A酸乳膏进行治疗。对于口腔白色角化病一般在去除刺激因素后,症状会逐渐好转,如角化严重,可局部应用维A酸乳膏等药物进行处理。
参考文献
[1]刘洋著.口腔内科学高级医师进阶副主任医师/主任医师[M].北京:中国协和医科大学出版社,2018.432-433,439-441.
[2]杜建东等主编.口腔疾病综合诊疗常规上[M].长春:吉林科学技术出版社,2017.260-262.
