概述
酸蚀症发生后,可见牙齿出现不规则的缺损,表面不整齐。本病多由无机酸的长期作用引起,治疗需在专业医生指导下进行。
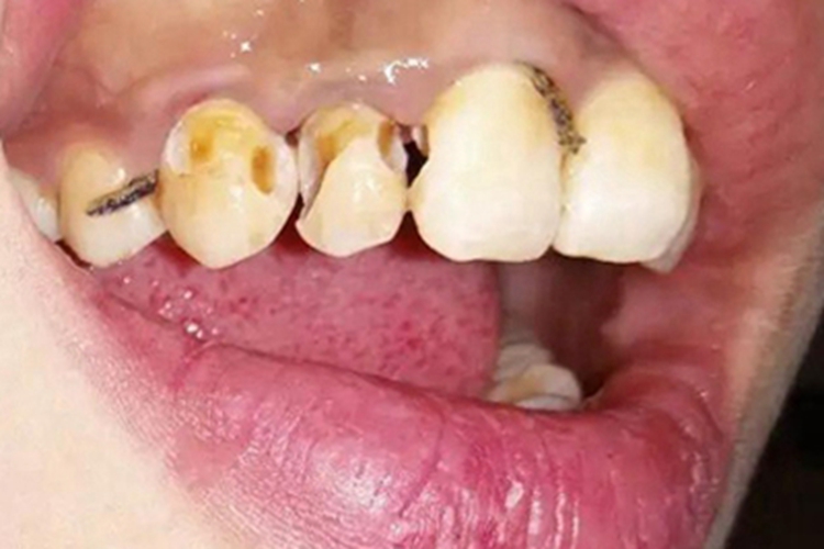
症状
酸蚀症发生后,可见牙齿出现不规则的缺损,呈坑洞状、断裂状等,表面不整齐,缺损处可有黄褐色斑片。若不干预,缺损可进一步扩大,影响美观和正常功能。

病因
酸蚀症牙齿缺损不整齐,多由无机酸的长期作用引起,牙齿受到酸雾或酸酐的侵蚀脱钙,致使牙齿硬组织逐渐破坏,高发人群为制酸、汽车电池、电镀材料等行业的从业人员。此外,长期大量饮用可乐、雪碧、芬达、果汁等酸性饮料,或是存在胃液反流,也可能引起此种表现。
治疗
对于酸蚀症牙齿缺损不整齐情况,为了恢复牙齿正常形态和功能,需要进行充填修复治疗。对伴有牙髓根尖周病变者,需行根管治疗。同时患者需要改善工作环境,以免症状加重,另外注意定期复查。注意上述治疗均需在专业医生指导下进行。
参考文献
[1]张志愿.口腔科学.第9版[M].北京.人民卫生出版社.2018.49.
[2]张震康,俞光岩,徐韬.实用口腔科学.第4版[M].北京.人民卫生出版社.2016.39-40.
展开
