概述
接触性荨麻疹可导致肚子上出现很多发红的疙瘩,周围伴有红色的风团,有瘙痒等不适。
该情况的发生是皮肤直接接触变应原引起,主要采取药物治疗。
症状
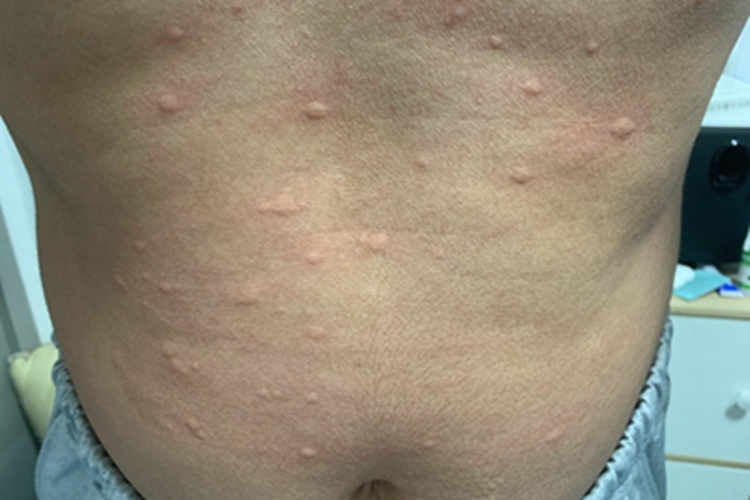
接触性荨麻疹累及肚子,可导致患者肚子皮肤上出现很多发红的疙瘩,约黄豆大小,高出皮肤表面,周围伴有红色的风团,患者有瘙痒等不适。

病因
接触性荨麻疹是一种常见的皮肤过敏反应,是皮肤直接接触变应原引起,如鱼、虾、蔬菜、动物毛发、皮屑等。患者在接触这类物质后,可导致皮肤出现过敏反应,血管通透性增加,从而导致疙瘩的出现,伴随瘙痒。
治疗
对于接触性荨麻疹肚子长疙瘩,主要采取药物治疗,患者可以在医生指导下使用抗组胺药物,比如西替利嗪、氯雷他定、依巴斯汀等进行抗过敏治疗,可以有效缓解瘙痒等不适症状,并能拮抗组胺引起的血管通透性增强而产生的风团,以达到治疗目的。
同时也可遵医嘱在局部适量涂抹丁酸氢化可的松乳膏、氧化锌软膏、糠酸莫米松乳膏等药物改善症状。
参考文献
[1]张学军,郑捷.皮肤性病学.第9版[M].北京.人民卫生出版社.2018.114.
[2]方洪元,邢卫斌,张秉新,徐海环.实用皮肤性病手册.第1版[M].北京.人民卫生出版社.2016.311.
[3]杨志寅.诊断学大辞典[M].北京.华夏出版社.2004.1618.
展开
