概述
撕脱性骨折在临床常见于胫骨结节撕脱性骨折、胫骨髁间嵴撕脱性骨折、骨盆边缘部撕脱性骨折,表现为局部肿胀、触痛。
症状
撕脱性骨折在临床常见于胫骨结节撕脱性骨折、胫骨髁间嵴撕脱性骨折、骨盆边缘部撕脱性骨折,具体症状如下:
胫骨结节撕脱性骨折
肿胀和压痛集中在胫骨近端前侧,可出现关节积液和积血。在胫骨近端和股骨髁之间的皮下可触及一游动性三角形骨块,骨块远端向前凸起、挤压皮肤。X线检查可见侧位上胫骨稍向内旋转,可出现一个平滑的、水平的、无移位的、射线可通过的骨折线穿过粗隆。

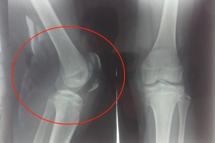
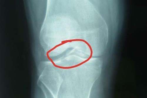
胫骨髁间嵴撕脱性骨折
表现为膝关节疼痛、肿胀、无法负重、屈伸活动受限。体格检查时可见膝关节肿胀、前后方稳定性降低,前抽屉试验和Lachman试验可为阳性。X线片可清楚显示髁间嵴骨折和移位。


骨盆边缘部撕脱性骨折
好发于青少年,其病史中常有做某个动作时,突然发生骨盆区剧痛的过程。临床检查时,撕脱性骨折处有肿胀、触痛,髋关节活动受限,骨折片附着肌肉的主动和被动运动均会产生疼痛,骨折片可见不同程度分离移位。

病因
撕脱性骨折在临床常见于胫骨结节撕脱性骨折、胫骨髁间嵴撕脱性骨折、骨盆边缘部撕脱性骨折,具体病因如下:
胫骨结节撕脱性骨折:大部分急性创伤性胫骨结节撕脱性骨折发生在青少年跳跃运动中,如打篮球,当跳跃受到阻挡或着地时受到偏心荷载时容易发生。当髌韧带牵引力量超过骨骺和辅助的软组织结合力时可发生胫骨结节撕脱。
胫骨髁间嵴撕脱性骨折:骨折多发生于前交叉韧带胫骨附着点,多为高处坠落、车祸及足球、滑雪等运动损伤的结果。
骨盆边缘部撕脱性骨折:常见于运动损伤,多见于运动员及舞蹈演员。
治疗
撕脱性骨折在临床常见于胫骨结节撕脱性骨折、胫骨髁间嵴撕脱性骨折、骨盆边缘部撕脱性骨折,具体治疗如下:
胫骨结节撕脱性骨折:微小的移位、小的撕脱骨块通过石膏进行固定,限制骨折部位的活动,有利于骨折部位的愈合。对于涉及关节内损伤或骨折移位超过2-3mm的胫骨结节撕脱性骨折,一般建议进行切开复位内固定术。
胫骨髁间嵴撕脱性骨折:一般采用手术治疗,非手术治疗需长时间固定膝关节,不利于患者进行康复训练,且有发生关节僵硬、骨折不愈合、关节不稳定等并发症的可能。
骨盆边缘部撕脱性骨折:可选择卧床休息、肌肉松弛剂和停止体育活动4-6周来治疗,卧床休息时,通过调整患侧髋关节及下肢的体位,使与撕脱骨折相关的肌肉处于松弛状态。严重者可选择手术治疗。
参考文献
[1]陈世益,冯华主编.现代骨科运动医学[M].上海.复旦大学出版社.2020.459.
[2]黄耀华,周玉刚主编.骨关节创伤X线诊断手册.第2版[M].北京.中国医药科技出版社.2016.118.
