概述
正中囊肿与鼻腭囊肿均为颌骨囊肿,二者区别主要为发病部位不同,一旦确诊,需立即进行手术治疗,避免对牙齿及周围组织造成损害。
区别
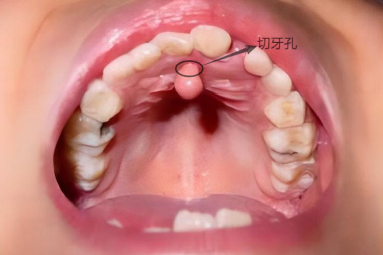
正中囊肿与鼻腭囊肿区别主要在于发病部位的不同,正中囊肿位于切牙孔之后,腭中缝的任何部位,少部分可发生于下颌正中线处。鼻腭囊肿来自切牙管残余上皮,位置较正中囊肿靠前。


治疗
正中囊肿与鼻腭囊肿是由胚胎发育过程中残留的上皮发展而来,一旦确诊后,应及时进行手术治疗,以免引起邻近牙的继续移位或造成咬合紊乱。一般从口内进行手术,如伴有感染须先用抗生素或其他抗菌药物控制炎症后再作手术治疗。术前应进行X线片,以明确囊肿的范围与邻近组织关系。
参考文献
[1]张志愿.口腔科学.第9版[M].北京.人民卫生出版社.2018.167-168.
[2]北京医师协会组织编写.口腔科诊疗常规[M].北京.中国医药科技出版社.2020.495.
展开
