概述
女性感染了滴虫可无症状或症状轻微,也可能会出现白带增多、外阴瘙痒、充血等症状。
女性感染滴虫主要是通过性传播导致,也可通过直接接触滴虫携带患者的衣物等方式感染。
症状
女性感染滴虫后多数无临床表现或症状轻微,成为带虫者,部分患者可出现滴虫性阴道炎或滴虫性尿道炎症状。
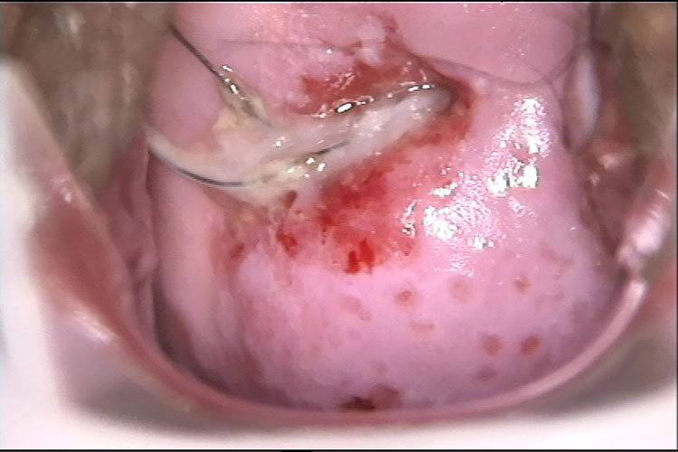
滴虫性阴道炎
可出现白带增多、呈泡沫状,伴有特殊气味,外阴瘙痒、烧灼感,阴道灰黄色、泡状分泌物,性交痛等。可见外阴红肿,阴道壁黏膜充血、水肿表现,阴道内分泌物增多,从少量稀薄到大量,稠厚不等,子宫颈充血、水肿,少数人子宫颈弥漫性糜烂、点状出血。若合并细菌感染,白带可呈脓液状、黏液状或水状。
滴虫性尿道炎
女性感染滴虫若侵犯泌尿道可出现为滴虫性尿道炎,表现为尿频、尿急、尿痛等尿道刺激症状。

病因
女人感染滴虫主要是通过性传播导致,女性感染滴虫后,虫体借助表面的5种蛋白黏附到泌尿上皮细胞,引起滴虫性尿道炎。阴道滴虫还可吞噬乳酸杆菌和阴道上皮细胞,阴道黏膜可出现充血、水肿、上皮细胞变性脱落、白细胞炎性浸润等病变,进而出现滴虫性阴道炎。
治疗
女人感染滴虫可通过口服甲硝唑、替硝唑,破坏滴虫细胞内结构从而导致虫体死亡,也可局部使用高锰酸钾、乳酸、醋酸等冲洗,保持局部酸性环境,也可局部使用甲硝唑栓治疗,治疗期间避免性生活。
参考文献
[1]卢致民,李凤铭.临床寄生虫学检验.第1版[M].武汉.华中科技大学出版社.2013.214-215.
[2]吴忠道,诸欣平.人体寄生虫学.第3版[M].北京.人民卫生出版社.2015.72-74.
[3]严滨,吕恽怡.妇产科学高级医师进阶.第1版[M].北京.中国协和医科大学出版社.2016.241-243.
展开
