概述
牙周病主要表现为牙龈红肿、牙龈出血、牙周袋形成、牙齿松动和掉落等症状。
牙周病主要由牙面上堆积的牙菌斑引起,牙石、食物嵌塞、不良修复体等可促使菌斑积聚。
症状
牙周病是指牙周组织,即牙龈、牙周膜、牙槽骨及牙骨等牙体支持组织发生的慢性、非特异性、感染性疾病。临床上以牙龈炎、牙周炎最为常见。
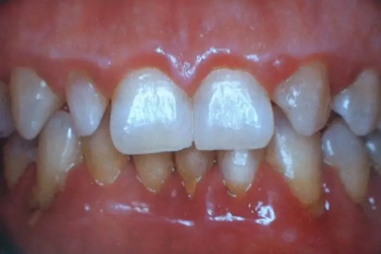
牙龈炎:是发生于牙龈组织的炎症性病变,一般无明显自觉症状,偶有牙龈发痒,发胀等不适感。多数患者常因牙龈受到机械刺激,如刷牙、咀嚼等引起出血或口臭而就诊。可见牙龈充血、红肿,呈暗红色。点彩消失,表面光滑发亮,质地松软,缺乏弹性,龈沟深度可达3mm以上,形成假性牙周袋,但上皮附着仍位于釉牙骨质界处。牙颈部可见牙石与牙垢沉积,探诊易出血。

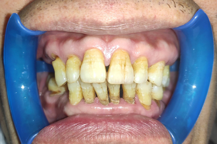
牙周炎:起病缓慢,早期主要表现为牙龈的慢性炎症。一般侵犯全口多数牙,少数患者仅发生于一组牙(如前牙)或个别牙,且呈一定的对称性。牙面常有大量牙石,牙龈呈现不同程度的慢性炎症,颜色呈鲜红或暗红色,质地松软,点彩消失,牙龈水肿。探诊出血甚至溢脓。早期已有牙周袋和牙槽骨吸收,程度较轻,牙尚不松动。晚期深牙周袋形成后,牙松动,咀嚼无力或疼痛,甚至发生急性牙周脓肿。

病因
牙龈炎和牙周炎主要为牙面上堆积的牙菌斑引起,其他如牙石、食物嵌塞、不良修复体等均可促使菌斑积聚,长期刺激牙龈,从而引发牙龈的炎症,导致牙龈红肿。牙周炎大多由牙龈炎发展而来,由于炎症刺激,牙周膜纤维破坏,牙槽骨逐渐吸收,牙龈与牙根面分离,使龈沟破坏、加深严重,形成病理性牙周袋。由于牙周膜破坏、牙槽骨吸收。牙齿支持功能丧失,从而出现牙齿松动,咀嚼功能下降或丧失。
治疗
牙龈炎主要是采用洁治术彻底清除菌斑和牙石。炎症较重者可配合局部药物治疗,包括过氧化氢液、氯己定或碘制剂。
牙周炎需要系统的综合治疗,并针对各个患牙的具体情况制订相应的治疗计划。洁治术和刮治术是牙周病的基础治疗,洁治术彻底清除龈上牙石,龈下刮治术清除龈下牙石;牙周基础治疗后6-8周复查疗效,若经完善的基础治疗仍残留≥5mm的牙周袋,且探诊仍有出血,或有些部位的牙石难以彻底清除,可考虑牙周翻瓣手术;通过松动牙的结扎固定等建立平衡的关系,使患牙消除咬合创伤而变得稳固,改善咀嚼功能。有缺失牙需要修复者,可利用固定或可摘修复体的附加装置,固定松动牙。定期的复查和维护期支持治疗是牙周炎疗效能长期保持的关键条件之一。
参考文献
[1]张志愿.口腔科学.第9版[M].北京.人民卫生出版社.2018.63-64,67-68.
[2]王永红.现代临床全科护理下[M].长春:吉林科学技术出版社,2019.03.514-515.
[3]孟焕新.牙周病学.第5版[M].北京.人民卫生出版社.2020.21-23.
