概述
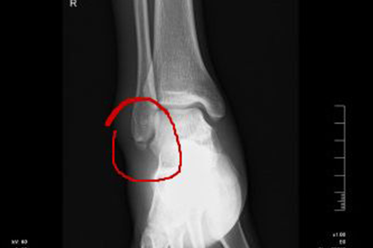
脚踝轻微骨裂可表现为踝部肿胀、疼痛,踝关节处可有明显压痛,活动受限。
脚踝轻微骨裂临床称裂纹骨折,多由间接暴力引起,也可因骨骼疾病所致。
症状
脚踝裂纹骨折属于骨折中比较轻微的一种,发生后主要的临床表现是脚踝局部出现疼痛、肿胀、皮下瘀斑,并有不同程度的运动功能障碍。检查时可在骨裂处扪到局限性压痛。

病因
踝部轻微骨裂多由间接暴力引起,大多数是在踝跖屈时扭伤所致,也可因直接冲撞、挤压等直接暴力引起。有骨骼病变的骨组织,可在轻微的外力作用或日常活动中发生骨裂,如踝关节骨肿瘤、骨质疏松等。
骨骼出现裂纹后,局部可出现炎症反应,血管通透性增加,软组织充血肿胀,从而形成上述症状。
治疗
脚踝轻微骨裂的骨折断端一般没有移位,可以通过石膏外固定或者夹板外固定进行治疗。骨裂后应限制活动,24小时内可给予局部冷敷,缓解疼痛、肿胀。通过保守治疗能够促进骨折端的稳定,并且加快骨折的顺利愈合,固定期间可进行邻近关节的功能锻炼。
参考文献
[1]陈孝平,汪建平,赵继宗.外科学.第9版[M].北京.人民卫生出版社.2018.675-677.
[2]唐冰之,胡剑锋,李晓辉编著.实用骨科学[M].长春.吉林科学技术出版社,2019.03.2.
展开
