概述
疱疹样皮炎可表现为局部出现水疱、斑点,部分表面形成血痂,伴有灼痛,病因尚未完全清楚,可遵医嘱进行系统治疗。
症状
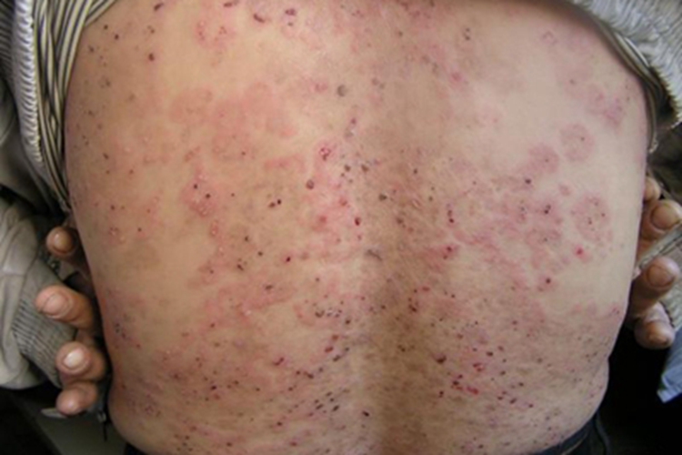
疱疹样皮炎的皮肤损害可发生在前额、背部、腋窝等部位,可表现为局部出现黄色水疱和红色斑点,水疱容易被抓破,从而出现破溃和结痂情况,形成褐色或黑色的血痂。患者有明显的灼痛或者疼痛症状。



病因
疱疹样皮炎病因尚未完全清楚,可能是一种和遗传易感性有关的免疫性疾病。患者常伴发谷胶敏感性肠病,通常在摄入谷胶或蛋白质后导致组织损伤。
治疗
疱疹样皮炎患者应严格限制谷胶摄入,除大米外许多食物含有谷胶,饮食限制至少6个月。可服用氨苯砜、柳氮磺吡啶等进行系统治疗,用药期间需多饮水,监测肾功能。
同时可局部外用止痒药物以及抗生素,预防继发感染,治疗时需在医生的指导下进行。
参考文献
[1]张建中,高兴华.皮肤性病学.第1版[M].北京.人民卫生出版社.2015.268-269.
[2]朴永君.皮肤性病学高级医师进阶.第1版[M].北京.中国协和医科大学出版社.2016.286.
展开
