概述
乳房Paget病可表现为糜烂,局部看起来湿润,有瘙痒感,该病可能与雌雄激素失衡等因素有关,发现该病后应及时遵医嘱乳房体检。
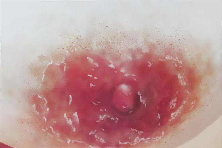
症状
乳房Paget病可见有糜烂,边界清楚,稍隆起,乳头回缩,有渗液,使局部看起来湿润,露出鲜红色基底部,可有瘙痒感。

病因
乳房Paget病约占乳腺恶性肿瘤的3%左右,一般发生在绝经后的妇女,因此随年龄增长,雌雄激素失衡是危险因素之一,乳头溢液、乳房外伤、放射暴露史和相关的遗传因素也影响其发病。
治疗
患者一旦诊断乳房Paget病,应及时乳房体检包括X线检查、穿刺活检。对于单纯乳头、乳晕病变患者,由医生常规切除损害辅助放疗即可。如果可触及乳房肿块,且边界不清,建议患者可行乳房肿瘤切除术及辅助放疗,部分复发患者必要时需完整切除乳房。
参考文献
[1]方洪元,邢卫斌,张秉新,徐海环.实用皮肤性病手册.第1版[M].北京.人民卫生出版社.2016.896.
[2]张建中,高兴华.皮肤性病学.第1版[M].北京.人民卫生出版社.2015.375.
展开
