概述
痣一般是指黑素细胞痣,与黑色素瘤通常可通过临床症状、病理组织学检查等方式进行区分,其具体形成原因均尚不明确。
症状
对于黑素细胞痣和黑色素瘤,其临床表现不同,可先通过外观进行区分。
黑素细胞痣
可见皮损为扁平或略隆起的斑疹或斑丘疹,也可为乳头瘤状、疣状、结节或有蒂的损害,表面光滑,可有或无毛发,数目不等。同时其两边对称;边缘规则整齐,与周围皮肤界限清楚;颜色为黑色、棕色等。

黑色素瘤
可见黑色素瘤非对称,色素斑的一半和另一半看起来不对称;边缘不规则,边缘不整或有切迹、锯齿等;颜色改变,可呈污浊的黑色,也可有褐、棕、棕黑、蓝、粉、黑甚至白色等各种颜色;直径>5mm或色素斑明显长大;可见整个瘤体会略有隆起。

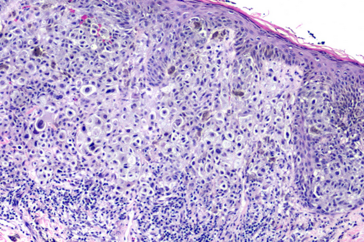
另外,除了可通过外观区分黑素细胞痣和黑色素瘤,也可通过病理组织学检查进行鉴别。在进行病理组织学检查时,可见黑素瘤细胞呈异型性,细胞大小、形态不一,胞核大,可见到核分裂及明显核仁,胞质内可含有色素颗粒,对多巴和酪氨酸酶呈强阳性反应。

病因
对于黑素细胞痣,是因色素细胞在由神经脊到表皮的移动过程中,因为偶然异常,可造成黑色素细胞的局部集中,就成为色素痣等病损。
而黑色素瘤与遗传因素、环境因素等方面有关,如长期慢性阳光暴露、外伤、病毒感染等,均与本病的发生有关。
治疗
在治疗方面,对于黑素细胞痣,通常无需特殊处理,但发生在掌跖、腰围、腋窝、腹股沟和肩部等易摩擦,或受伤部位的黑素细胞痣应考虑手术切除。
对于黑色素瘤,应及时进行手术切除,可采用术中淋巴结定位或区域选择性淋巴结切除,出现转移者还需采取化疗、放疗等治疗措施。
参考文献
[1]张学军,郑捷.皮肤性病学.第9版[M].北京.人民卫生出版社.2018.193,207.
[2]张春霞.肿瘤内科学高级医师进阶.第1版[M].北京.中国协和医科大学出版社.2016.446.
[3]朴永君.皮肤性病学高级医师进阶.第1版[M].北京.中国协和医科大学出版社.2016.355.
