概述
渗出性老年性黄斑部变性可导致患处出现血丝,眼睛视力突然下降,应及早遵医嘱采用抑制新生血管的药物治疗、激光光凝治疗。
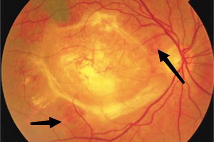
症状
渗出性老年性黄斑部变性患者皮损处可见出现血丝,是新生的血管导致的,引起一系列渗出、出血、瘢痕改变,患者可一眼突然发生视力下降。

病因
渗出性老年性黄斑部变性的病因,可能与遗传、慢性光损害、营养障碍、中毒、免疫性疾病、心血管系统及呼吸系统等全身性疾病等有关,也可能是多种因素复合作用的结果。
治疗
渗出性老年性黄斑部变性的病程早期,视网膜下新生血管膜尚局限于黄斑中心区者,应及早采用抑制新生血管的药物治疗、激光光凝破坏新生血管,以争取不使病变扩大而影响中央视力。如果中心区已经受损,则采用任何治疗均无法恢复其中央视力。
注意,治疗及用药需严格遵照医嘱,切不可自行处理。
参考文献
[1]王占虹.实用眼科学精粹[M].哈尔滨:黑龙江科学技术出版社,2018:476-477.
[2]王德龙,杨少远,江丽丽.慢性病防治与康复[M].济南:山东大学出版社,2017:163.
展开
