概述
两颗门牙中间发黑考虑是龋病、牙结石变黑所致,多伴有不同程度口腔不适及功能改变。可采取非手术治疗、窝洞填充术等措施。
症状
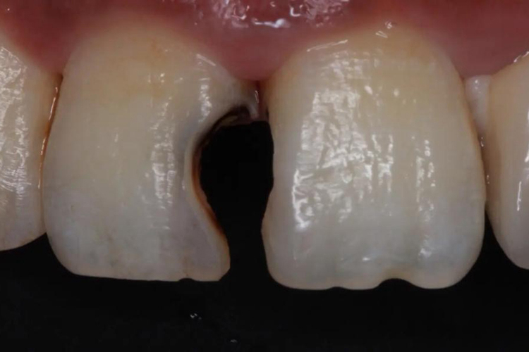
两颗门牙中间发黑可能与龋病、牙结石变黑有关,可导致牙齿、牙龈等部位出现不适。
龋病
两颗门牙出现龋病时,牙体硬组织在色、形、质各方面均发生变化,包括牙颜色、光滑度和硬度的改变,随着病情进展可逐渐出现组织缺损。龋病可致使牙釉质呈白垩色,继之病变部位有色素沉着,局部呈黄褐色、棕褐色或黑色。病变早期可无自觉症状,若涉及牙本质,可导致患者进食冷热及酸性食物时出现患牙不适或酸痛。

牙结石变黑
若两颗门牙中间积聚有牙结石,外观呈黄白色、棕色或黑色,可因饮茶、吸烟、食物、药物等使颜色加重。牙结石可诱发或加重牙龈和牙周组织病变,引起牙龈组织出血及口腔异味等。

病因
患者需及时到医院就诊,排查龋病、牙结石变黑,及时做出诊断。
龋病:龋病是一种多因素疾病,宿主、微生物、饮食和食物在疾病的发生过程中共同发挥作用,即敏感宿主、口腔致龋菌群以及适宜底物,同时存在足够的时间,就可能引发龋病。
牙结石变黑:牙结石的形成受唾液成分、饮食习惯、口腔卫生习惯等因素影响,容易存积在不易刷到的牙面上或唾液腺开口附近,可分为龈上结石、龈下结石。因不当饮食、长期吸烟、用药等因素影响,可致使牙结石颜色逐渐加深。
治疗
建议患者及时就医,根据病因在医生指导下采取相应处理措施。
龋病:可根据具体情况采取非手术治疗、窝洞填充术等措施,如早期釉质龋未出现牙体组织缺损时可遵医嘱采用药物、再矿化或窝沟封闭等技术终止或消除龋病。一旦造成牙体组织实质性缺损,则考虑行窝洞填充术。
牙结石变黑:需及时去除牙结石,如采取超声波治法、龈上洁治法、龈下刮治法等。
参考文献
[1]樊明文主编.中华医学百科全书 2 临床医学 口腔医学[M].北京:中国协和医科大学出版社,2018.7-9.
[2]王玮主编.现代实用口腔医学[M].云南科学技术出版社,2020.47-49.
