概述
一般情况下踝正位X线多指踝关节正位X线,正常情况下可看到踝关节间隙、部分跗骨间关节、部分跗跖关节间隙等结构,无异常情况。
表现
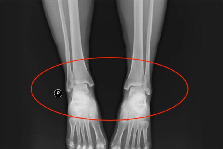
踝关节正位为踝关节的正位投影像,可显示踝关节间隙、部分跗骨间关节、部分跗跖关节间隙、以及关节构成、骨质和软组织情况。正常情况下,关节面呈切线位,关节间隙、诸骨小梁显示清晰,周围软组织层次分明,影像层次丰富,对比良好,无明显伪影。

相关疾病
当踝关节受到外界暴力撞击,出现骨折时,会引起局部疼痛、肿胀和不同程度的运动功能障碍。此时建议积极通过X线检查明确诊断,并及时进行复位治疗 ,必要时需通过手术治疗,缓解不适,促进恢复。
参考文献
[1]刘英男.现代骨外科显微外科学[M].开封.河南大学出版社.2020.05.107-112.
[2]王光彬.山东省医学影像学检查技术操作规范[M].济南.山东科学技术出版社.2019.04.220.
[3]郑晓林,朱纯生.现代X线投照技术学[M].世界图书出版西安有限公司.2017.01.195.
展开
