概述
基质性角膜炎可导致患处水肿、充血,并伴有白斑、血丝等表现,患者可有视力下降、眼痛等不适,本病与细菌等有关,需遵医嘱治疗。
症状
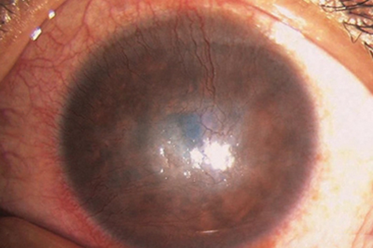
基质性角膜炎可以表现为表面附着形状不规则的半透明白斑,可遮挡瞳孔,同时结膜充满红血丝,角膜充血水肿,患者可有畏光、眼痛、流泪、视力明显下降等症状。

病因
基质性角膜炎可能与细菌、病毒、寄生虫感染有关,梅毒螺旋体、麻风杆菌、结核杆菌和单纯疱疹病毒感染是常见的病因,虽然致病微生物可直接侵犯角膜基质,但大多数角膜病变是与感染原所致的免疫反应性炎症有关。
治疗
基质性角膜炎患者可遵医嘱针对病因全身给予抗梅毒或抗结核治疗。伴有虹膜睫状体炎,需使用阿托品滴眼液或眼膏散瞳;点用糖皮质激素可减轻角膜炎症及症状,但要持续使用,注意逐渐减量原则,防止疾病反复。患者畏光强烈,可戴深色眼镜减少光线刺激。用于角膜瘢痕形成导致的视力障碍者,可遵医嘱行角膜移植术。
参考文献
[1]邵毅,赵学英,刘毅.眼科疾病的治疗与研究[M].北京:科学普及出版社,2016:23-24.
[2]杨培增,范先群.眼科学(第9版)[M].北京:人民卫生出版社,2018:117-118.
展开
