概述
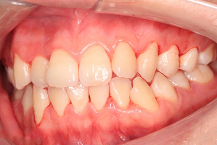
慢性龈炎发生后,可见患者牙龈出现损害,表现为出血,可呈血丝状,同时龈缘变厚。
该情况主要是龈缘附近牙面上堆积的牙菌斑导致,治疗均需遵医嘱进行。
症状
慢性龈炎发生后,可见患者牙龈出现损害,表现为出血,轻重不定,可呈血丝状。常见于刷牙或咬硬物等情况,一般无自发性出血,部分患者可能还存在口腔异味。同时龈缘变厚,质地较硬而有弹性。

病因
慢性龈炎主要是龈缘附近牙面上堆积的牙菌斑导致。菌斑维生素及其产物长期作用于牙龈,可引起炎症反应,表现为肿胀、出血、有血丝等。其他因素,如牙石、不良修复体、食物嵌塞、牙错位拥挤等,可加重菌斑的堆积,诱发或加重此种情况。
治疗
慢性龈炎患者需要针对病因进行治疗,即通过洁治术彻底清除菌斑和牙石。必要时可应用药物,常见的有括过氧化氢溶液、复方氯己定含漱液等。注意上述治疗均需遵医嘱进行。
参考文献
[1]张志愿.口腔科学.第9版[M].北京.人民卫生出版社.2018.63-64.
[2]孟焕新.牙周病学.第5版[M].北京.人民卫生出版社.2020.131-134.
展开
