概述
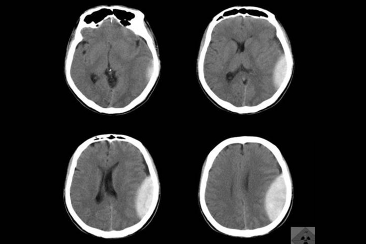
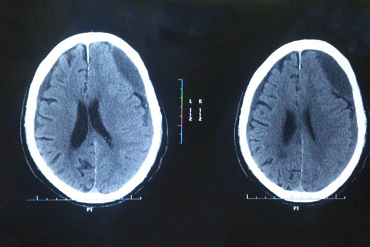
左侧硬膜下血肿是因血液淤积在左侧硬脑膜下腔形成的多发性血肿,CT可见高密度影像或点状出血灶,还可伴有头晕、呕吐等症状。
CT表现
左侧急性硬膜下血肿CT检查示颅骨内板与脑组织表面之间有高密度、等密度或混合密度的新月形或半月形影;慢性硬膜下血肿CT检查示颅骨内板下低密度的新月形、半月形或双凸镜形影,还可出现中线移位、脑室受压的情况。


治疗
对于左侧急性硬脑膜下血肿,若出血量较少,可先实行非手术治疗,如止血、脱水、降低颅内压、改善脑循环等,若症状严重,应及时进行手术治疗,如血肿清除术、去骨瓣减压术等;左侧慢性硬脑膜下血肿,可首选钻孔置管引流术,若血肿囊壁肥厚伴钙化时,须行骨瓣开颅清除血肿术。
参考文献
[1]朱友志,王龙胜,高斌.CT诊断与临床中枢神经头颈及骨骼肌肉[M].合肥:安徽科学技术出版社.2018.10.
[2]刘娜.实用神经外科常见疾病护理学[M].长春:吉林科学技术出版社.2019.128.
[3]赵玉沛,陈孝平.外科学(上册).第3版[M].北京:人民卫生出版社.2015.273.
展开
