概述
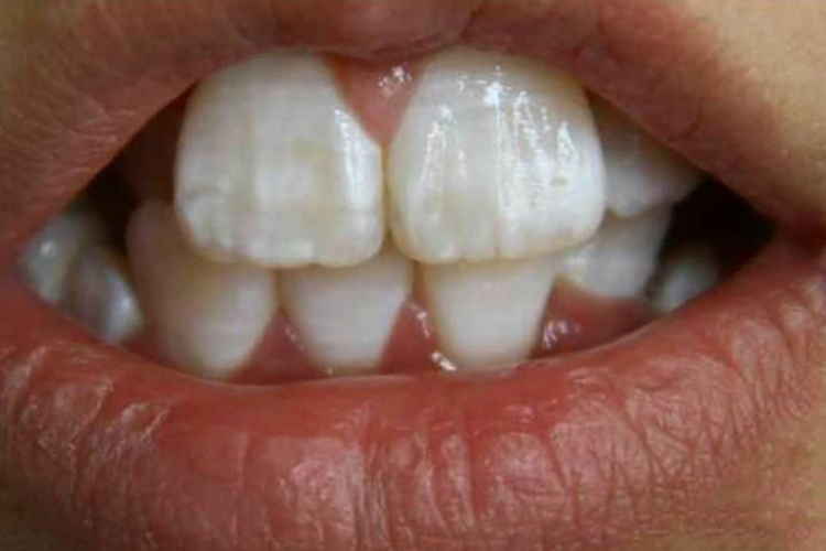
临床无牙釉质钙化不良的说法,多指牙釉质矿化不全,是牙釉质发育不全中的一种类型,表现为牙齿形成白垩色釉质,但牙冠形态完整。
症状
牙釉质矿化不全的人群,牙冠形态完整无缺损,仅有色泽和透明度的改变,呈白垩色釉质,表现为牙面出现异于正常牙齿的白色, 可出现在牙面任何部位,患者一般无自觉症状。
病因
牙釉质矿化不全是牙釉质基质形成正常而钙化不良所致,而全身疾病、严重营养障碍、内分泌失调、婴儿和母体疾病以及局部严重的乳牙根尖周感染可导致牙釉质形成异常。
治疗
牙釉质矿化不全一般无自觉症状,无需特殊处理,但如果考虑牙齿美容需要,可考虑做牙釉质美容修复,如复合树脂、烤瓷冠等。牙釉质矿化不全者,日常生活中应注意口腔卫生,预防龋病。
参考文献
[1]张志愿.口腔科学.第9版[M].北京.人民卫生出版社.2018.49.
[2]周学东.牙体牙髓病学.第5版[M].北京.人民卫生出版社.2020.36.
展开
