概述
痛风未规范治疗可导致左脚有多处向外隆起,变形严重,是由长期的炎症反应导致,需进行手术治疗。
症状
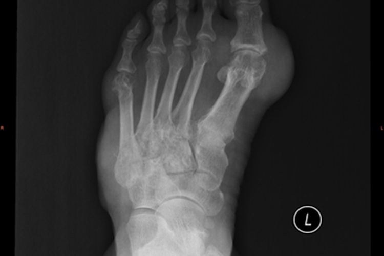
痛风未规范治疗可导致左脚的关节处有痛风石积累,有多处向外隆起,变形严重,其影像学图像可显示多个关节处均有白色团块状阴影附着。

病因
痛风是一种由于体内尿酸过多而导致尿酸盐在关节中沉积的疾病。当尿酸盐积聚超过饱和度时,会形成晶体,刺激左脚关节组织引发炎症反应。炎症反应会引起关节肿胀、疼痛和局部组织受损,长期以来,这种炎症反复发作会导致左脚多处关节的变形。
治疗
痛风左脚多处变形的治疗方法,主要是手术治疗,包括关节重建术和关节置换术等。关节重建术通过去除关节内的尿酸结晶、清理关节软骨破碎、修复关节韧带和肌腱,以及进行骨切割和整形等方式,恢复关节的正常形态和功能。关节置换术则是将疼痛严重、关节功能丧失的关节进行人工植入物的置换,以减轻症状和恢复活动能力。手术治疗需要根据患者的具体情况和相关检查结果,由医生进行评估和确定。
参考文献
[1]张丽芹.现代临床皮肤性病治疗实践[M].长春.吉林科学技术出版社.2018.277-278.
[2]王辰,王建安.内科学下册.第3版[M].北京.人民卫生出版社.2015.1227-1229.
[3]葛均波,徐永健,王辰.内科学.第9版[M].北京.人民卫生出版社.2018.861.
展开
