毛霉菌感染可导致毛霉病,常累及鼻、脑、肺、胃肠道、皮肤,甚至可血行播散至全身。其临床表现因感染部位不同而有所区别。
毛霉病是由毛霉目真菌感染引起,该真菌是条件致病菌,多数急剧发展。
鼻脑毛霉病
患者多为糖尿病酸中毒患者,感染常始于上鼻甲或鼻窦,也可在腭和咽部,引起严重的蜂窝织炎,最初症状多为一侧头痛、鼻或鼻窦疼痛充血、流血清样或黑色鼻涕,常有发热。随着疾病的发展,鼻分泌物变得较为黏稠,黑色带血。若出现严重的眼眶部蜂窝织炎,表示真菌已侵入眼和中枢神经系统,多表现为眼眶疼痛、眼球突出、运动受限甚至失明。随着病情进展,病原菌会侵入较大的脑血管,引起栓塞和坏死,导致患者死亡。
肺毛霉病
典型症状主要表现为进行性非特征性支气管炎和肺炎,严重者病原菌侵入血管,引起栓塞和坏死,产生相应症状和体征;有的因累及动脉而出现致命性的咯血,或在肺部形成较大的空洞。患者表现为持续高热、咳嗽、胸痛、咯血、抗细菌的抗生素无效。

消化道毛霉病
本型多见于营养不良的儿童,病变可累及食管、胃、回肠、直肠等,并可扩展至肝、胆、脾和胰腺,甚至产生腹膜炎。症状视累及的部位和程度而异,常有非特异性的腹痛、胃溃疡、胃痛、腹泻、血便、呕咖啡样血等。病情发展较快,死亡率较高。
皮肤毛霉病
皮肤毛霉病皮损形态多样,包括丘疹、斑块、脓疱、溃疡、深部脓肿和溃烂坏死等。最初皮损为痛性结节,逐渐扩大,在苍白的边缘外再围以很窄的红色的环,直径可达数厘米。后中央出现溃疡、结焦痂和坏死,可有瘢痕形成。


播散性毛霉病
上述毛霉病类型都可引起播散性毛霉病,但多见于中性粒细胞减少的肺部毛霉感染患者。播散部位以脑最常见,心、脾、皮肤次之,常在尸检时确诊。
多是因为免疫功能下降、皮肤受损等原因,导致毛霉菌得以经呼吸道、胃肠道、皮肤黏膜伤口等侵入而引起感染。
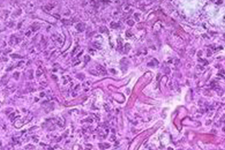
主要是根据临床直接检查、组织病理检查等进行综合诊断,且一般需要取患者的痰液、脓液、鼻分泌物、活组织等作为标本进行实验室检查,帮助确诊。
首选药物为两性霉素B,可以与氟胞嘧啶协同治疗,效果更好。同时治疗原发疾病如控制糖尿病等,并给予全身支持疗法,局部可作切除术或清创术。
[1]宋诗铎主编.临床感染病学[M].天津:天津科学技术出版社,2004.07.
[2]赵辨,等.中国临床皮肤病学(上下册)[M].江苏科学技术出版社,2010:593-594.