概述
健康的颈椎椎体较小,活动度较大,横断面呈椭圆形,上、下关节突的关节面呈水平位。
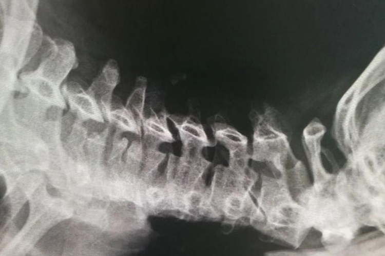
颈椎病颈椎生理曲度减小、消失或反弓,椎间隙狭窄,椎关节不稳,可有轻度滑脱。
健康的颈椎
健康的颈椎共由7块椎骨组成,颈椎椎体较小,横断面呈椭圆形,上下关节突的关节面呈水平位。第3-7颈椎体上面侧缘向上突起称椎体钩。椎体钩与上位椎体的下面两侧唇缘相接,则形成钩椎关节。

颈椎椎孔较大,呈三角形。横突有孔称横突孔,有椎动脉和椎静脉通过。椎体前面弧状隆起,上下缘附着前纵韧带,后缘较平坦,有滋养血管出入孔,上下缘有后纵韧带附着。第2-6颈椎的棘突较短,末端分叉。

颈椎病
颈椎病的种类较多,临床上常见的有以下几种:
神经根型颈椎病:椎体增生,颈椎关节增生,椎间隙变窄,颈椎生理曲度减小、消失或反弓,轻度滑脱,项韧带钙化和椎间孔变小。

脊髓型颈椎病:颈椎间盘变性,颈椎生理曲度改变,病变椎间隙狭窄,椎体后缘唇样骨赘,椎间孔变小,脊髓受压。

椎动脉型颈椎病:当颈椎关节增生时,可对椎动脉造成挤压和刺激,引起脑供血不足,产生头晕、头痛等症状。检查可显示椎节不稳及钩椎关节侧方增生。

颈型颈椎病:颈部一般无歪斜,检查可见颈椎生理曲度变直或消失,颈椎椎体轻度退变,有1/3患者椎间隙松动,表现为轻度梯形变,或屈伸活动度变大。

治疗
颈椎病治疗包括保守治疗和手术治疗,具体如下:
保守治疗:包括颈椎牵引疗法、制动法、理疗、家庭疗法、推拿按摩、针灸和穴位封闭以及药物治疗。
手术治疗:包括减压、内固定、融合、颈椎前路手术、侧前方手术以及后路手术。
参考文献
[1]黄桂成,王拥军.中医骨伤科学.第4版[M].北京.中国中医药出版社.2016.532-534.
[2]姜虹.骨外科学高级医师进阶.第1版[M].北京.中国协和医科大学出版社.2016.291-293.
展开
