概述
青光眼滤过泡是由于青光眼手术后不全愈合的巩膜切口引流到结膜下聚集所致,正常表现为结膜下出现微囊状或扁平而弥散的微小囊泡。
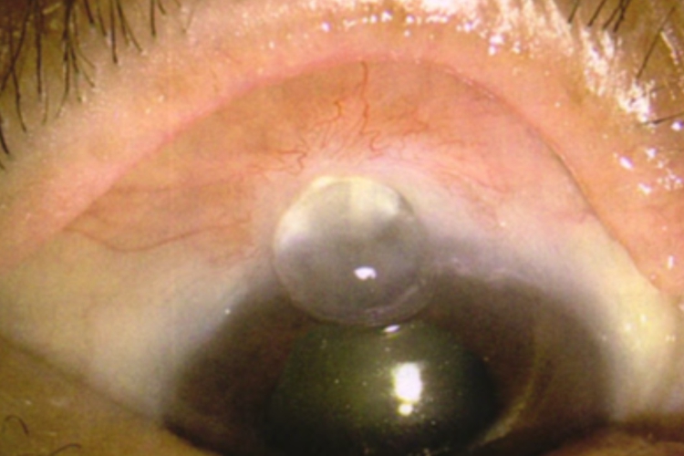
外观
青光眼滤过泡多为功能性滤过泡,表现为结膜下结缔组织排列疏松,光镜下可见到上皮下的清亮间隙,相当于球结膜的微水囊泡。青光眼滤过泡可表现为薄壁无血管、多形微囊状,或扁平、弥散、苍白的结膜,相对壁稍厚,具有良好的滤过作用,安全不易破漏。

护理措施
青光眼滤过泡手术后,当天多卧床休息,避免情绪激动,保持大便通畅。同时注意观察眼压、前房变化和滤过泡的形态和功能,观察有无眼痛,避免感染的发生。另外,遵医嘱使用毛果芸香碱滴眼液、噻吗洛尔滴眼液等,以改善眼部症状,并进行眼部按摩,以利于滤口开放。
参考文献
[1]杨文利.临床眼超声诊断学[M].北京.科学技术文献出版社,2019.211-212.
[2]鞠红菊.现代眼科护理实践[M].长春.吉林科学技术出版社,2019.114-117.
展开
