概述
牙垢一般指牙菌斑,牙结石亦称牙石,常附着于牙齿表面,外观呈白色、棕色或黑色。
牙垢、牙结石的形成主要受唾液成分、饮食习惯、口腔卫生习惯等因素影响。
症状
牙垢一般指牙菌斑,牙结石亦称牙石,二者临床表现不同,具体如下:
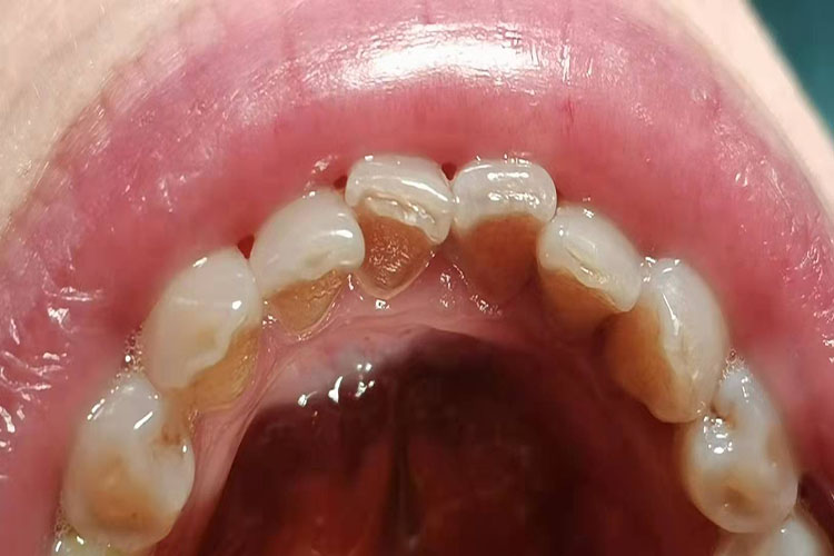
牙垢
牙垢为白色或暗褐色,厚度各异,开始生长的部位常在牙面缺陷部位和不规则的表面,然后逐渐融合并沿龈缘生长,牙垢可填充邻面间隙。
牙结石
龈上牙结石:常沉积在牙冠,直接可看到的牙结石称为龈上牙结石,呈黄或白色,一般体积较大,尤其是在与唾液腺导管开口相应处的牙面上沉积更多,如上颌第一磨牙颊面和下颌前牙的舌面。

龈下牙结石:多在龈缘以下,肉眼看不到,在X线片上可见。呈褐色或黑色,较龈上牙结石体积小而硬,一般与牙面的附着比龈上牙结石更牢固。

病因
牙垢与牙结石二者成因不同,但都会受到唾液成分、饮食习惯、口腔卫生习惯等因素的影响,应注意鉴别。
牙垢
牙垢为牙萌出时牙面上的有机物,但这些物质很快通过咀嚼活动被磨除掉。牙萌出至口腔后,短时间内又有一些有机物沉积于牙面,这些后天获得的沉积物,含有有机酸、细菌抗原、细胞毒性物质、水解酶等,从而形成牙垢。
牙结石
牙结石是沉积在牙面或修复体表面的已钙化或正在钙化的菌斑及沉淀物,牙结石可按沉积部位分为龈上牙结石和龈下牙结石。牙结石的形成包括3个基本步骤,即获得性薄膜形成、菌斑成熟、矿物化。最初小晶体开始沉积在菌斑基质中,然后基质完全钙化,细菌也钙化。钙化先呈小灶状,随着时间的推移逐渐增大,并互相融合成大块牙结石。
治疗
牙垢以及牙结石的患者,要保持口腔良好的卫生,坚持刷牙漱口很有必要。刚开始沉积于牙面的牙垢应该及时刷掉。少吃精细食品,饭后刷牙漱口。还可采用龈上洁治法、龈下刮治术等进行治疗。
参考文献
[1]张志愿.口腔科学.第9版[M].北京.人民卫生出版社.2018.33.
[2]孟焕新.牙周病学.第5版[M].北京.人民卫生出版社.2020.63-64.
