概述
慢性龈炎可表现为患者牙龈上出现多个肿块,肿块大小不同,形状不规则。该病是由牙面上堆积的牙菌斑引起的,需遵医嘱进行治疗。
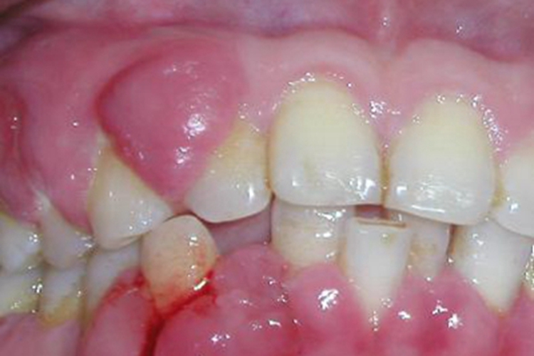
症状
慢性龈炎可表现为患者牙龈上出现多个肿块,肿块大小不同,形状不规则,覆盖部分牙冠,局部出现牙龈出血。患者自觉疼痛、异物感。

病因
慢性龈炎是由牙面上堆积的牙菌斑引起的。此外,牙结石、食物嵌塞、不良修复体、不良口腔卫生习惯等可促使牙菌斑积聚,引发或加重牙龈炎症。
治疗
对于慢性龈炎牙龈上有肿块的情况,需要在医生指导下采取手术治疗、药物治疗、一般治疗。
手术治疗:需要通过洁牙术彻底清除菌斑和牙结石,彻底纠正不良修复体等刺激因素。牙龈增生明显,炎症消退后牙龈形态仍不能恢复正常者,可行牙龈成形术。
药物治疗:患者炎症较重者可遵医嘱配合药物治疗,如局部使用复方氯己定含漱液、度米芬含片、丁硼乳膏、碘甘油等。
一般治疗:患者要高度注意口腔卫生,定期到口腔医院洗牙,清理牙石。改正吸烟、喝酒、嚼槟榔、饮食过于辛辣等习惯。
参考文献
[1]张志愿.口腔科学.第9版[M].北京.人民卫生出版社.2018.63-64.
[2]孟焕新.牙周病学.第5版[M].北京.人民卫生出版社.2020.131-134.
展开
