概述
肺部良性与恶性肿瘤大多由影像学检查发现,早期症状均不明显。
肺部良性肿瘤确诊后积极进行治疗对身体健康影响较小,恶性肿瘤的预后通常较差。
症状
肺部良性肿瘤和恶性肿瘤的具体症状不同,出现类似症状建议及时就医诊治。
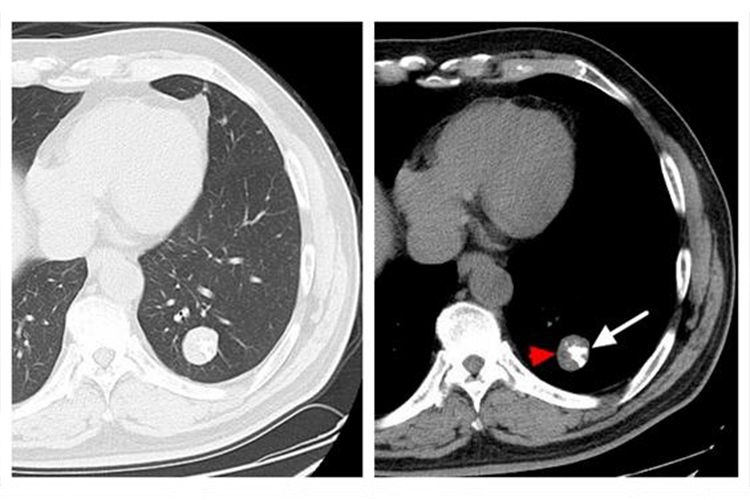
肺部良性肿瘤
肺部良性肿瘤患者多无不适症状,常在体检时偶然发现,肿瘤形态大多数为圆形、椭圆形、类圆形,密度相对较高。如瘤体巨大,可压迫周围组织,引起咳嗽、气促、胸闷、胸痛等症状。

肺部恶性肿瘤
早期肺部恶性肿瘤往往无症状,随着肿瘤进展,可出现咳嗽、血痰、胸痛、发热、气促等症状。影像学检查主要表现为不规则高密度影,可呈现球形或者分叶状块影。当癌肿继续长大阻塞支气管,可继发肺部感染,痰量增多,伴有脓性痰液。


病因
肺部良性肿瘤和肺部恶性肿瘤的具体病因有所不同。
肺部良性肿瘤
肺部良性肿瘤的病因尚不明确,可能与免疫反应、代谢紊乱、肺部炎症以及病毒感染等因素有关。
肺部恶性肿瘤
肺部恶性肿瘤的病因至今不完全明确,危险因素包括吸烟、大气污染、烹饪油烟、职业接触(包括砷、镉、铬、石棉、煤炼焦过程、氡、电离辐射等)、饮食、遗传易感性、基因变异等。
治疗
无论是肺部良性肿瘤还是肺部恶性肿瘤,在明确诊断后,均需要在医生指导下积极进行治疗。
肺部良性肿瘤
肺部良性肿瘤应及早采取手术切除,手术方式可采用单纯剔除、局部摘除、楔形切除或肺段切除。除非较大的肿瘤,否则不必采用肺叶切除术。
肺部恶性肿瘤
肺部恶性肿瘤早期的治疗方法以外科手术治疗为主,对于失去手术机会的中晚期患者可选用放射治疗、化学药物治疗、靶向治疗、免疫治疗等,患者可以根据自身状况在医生指导下选择合适的治疗方式。
参考文献
[1]陈孝平,汪建平,赵继宗.外科学.第9版[M].北京.人民卫生出版社.2018.265-270.
[2]李美娟主编.现代临床常见病护理学[M].云南科学技术出版社.2020.366-370.
展开
