概述
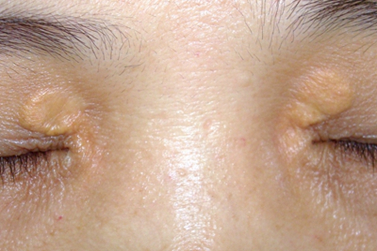
睑黄瘤皮损处可表现为斑块、疙瘩、结节等,用手触摸质地柔软,边缘不规则。
睑黄瘤可能与血浆脂质过度升高有关,可以遵医嘱采取药物、激光等方式进行治疗。
症状
睑黄瘤可见局部有黄色斑块、疙瘩、结节,形状不一,或肾形,或月牙形,黄豆大小,边缘不规则,境界清楚,按之柔软,略微高于皮面。


病因
睑黄瘤确切的发病机制尚不明确,可能与血浆脂质的过度升高有关,过高的血浆脂质会促使脂质在组织中沉积,组织细胞吞噬脂质后形成黄瘤细胞,大量的黄瘤细胞聚集、沉积于组织中,在皮肤上则表现为黄瘤。
治疗
睑黄瘤的治疗包括一般治疗、药物治疗、局部治疗,但需注意,药物应在医生指导下使用。
一般治疗:注意低脂低盐低热量饮食及锻炼,定期监测血脂水平尤其低密度脂蛋白,发现异常及时就诊。
药物治疗:有高血脂者在医生指导下使用降脂药物治疗,如他汀类药物、烟酸等。
局部治疗:较小者可采用三氯乙酸、CO2激光及其他各类激光治疗,较大的孤立性皮损可行手术切除。
参考文献
[1]朴永君.皮肤性病学.高级医师进阶.第1版[M].北京.中国协和医科大学出版社.2016.415.
[2]张建中,高兴华.皮肤性病学.第1版[M].北京.人民卫生出版社.2015.335-336.
[3]方洪元,邢卫斌,张秉新,徐海环.实用皮肤性病手册.第1版[M].北京.人民卫生出版社.2016.511-512.
展开
